Telefon:
+49 (0)241 95 163 153
Fax:
+49 (0)241 95 163 155
E-Mail:
orders@antikoerper-online.de

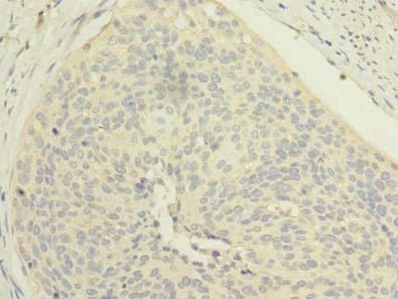
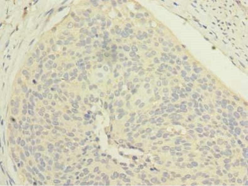
COX4NB Antikörper (AA 1-210)

Der Kaninchen Polyklonal anti-COX4NB Antikörper wird verwendet zum Nachweis von COX4NB in Proben von Human. Er wurde validiert für WB, ELISA, IHC und IF.
Produktnummer ABIN7151982
328,90 €
Zzgl. Versandkosten 20,00 € und MwSt
Lieferung nach: Deutschland
Lieferung in 11 bis 15 Werktagen

Kurzübersicht für COX4NB Antikörper (AA 1-210) (ABIN7151982)

Target

Alle COX4NB Antikörper anzeigen
COX4NB (COX4 Neighbor (COX4NB))

Reaktivität

  • 21
  • 4
  • 4
Human

Wirt

  • 14
  • 7
Kaninchen

Klonalität

  • 16
  • 5
Polyklonal

Konjugat

  • 11
  • 2
  • 1
  • 1
  • 1
  • 1
  • 1
  • 1
  • 1
  • 1
Dieser COX4NB Antikörper ist unkonjugiert

Applikation

  • 11
  • 6
  • 3
  • 2
  • 2
  • 2
  • 2
  • 1
  • 1
  • 1
Western Blotting (WB), ELISA, Immunohistochemistry (IHC), Immunofluorescence (IF)
  • Bindungsspezifität

    • 6
    • 1
    • 1
    • 1
    AA 1-210

    Verwendungszweck

    EMC8 Antibody

    Aufreinigung

    Protein G purified

    Reinheit

    >95 %

    Immunogen

    Recombinant Human ER membrane protein complex subunit 8 protein (1-210AA)

    Isotyp

    IgG
  • Applikationshinweise

    Optimal working dilution should be determined by the investigator.

    Beschränkungen

    Nur für Forschungszwecke einsetzbar
  • Format

    Liquid

    Buffer

    Preservative: 0.03 % Proclin 300
    Constituents: 50 % Glycerol, 0.01M PBS, PH 7.4

    Konservierungsmittel

    ProClin

    Vorsichtsmaßnahmen

    This product contains ProClin: a POISONOUS AND HAZARDOUS SUBSTANCE which should be handled by trained staff only.

    Lagerung

    -20 °C,-80 °C

    Informationen zur Lagerung

    Upon receipt, store at -20°C or -80°C. Avoid repeated freeze.
  • Target

    COX4NB (COX4 Neighbor (COX4NB))

    Andere Bezeichnung

    EMC8

    Hintergrund

    Background: cytoplasm, ER membrane protein complex, membrane, mitochondrion, nucleus

    Aliases: C16orf2 antibody, C16orf4 antibody, COX4 neighbor antibody, COX4, neighbor of antibody, COX4AL antibody, Cox4nb antibody, CX4NB_HUMAN antibody, ER membrane protein complex subunit 8 antibody, FAM158B antibody, family with sequence similarity 158, member B antibody, Neighbor of COX4 antibody, NOC4 antibody, Protein FAM158B antibody

    UniProt

    O43402
Sie sind hier:
Chat with us!