Telefon:
+49 (0)241 95 163 153
Fax:
+49 (0)241 95 163 155
E-Mail:
orders@antikoerper-online.de

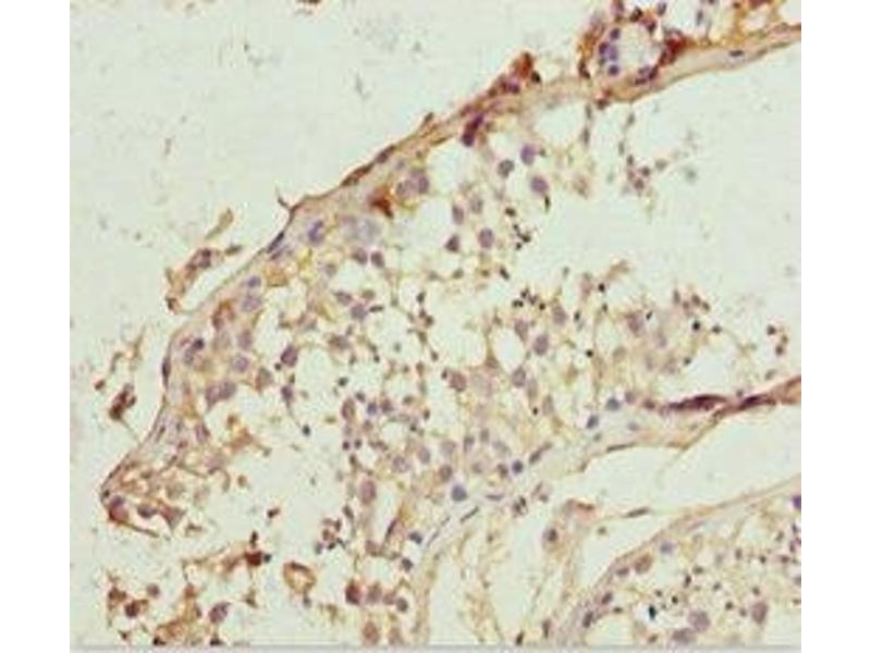
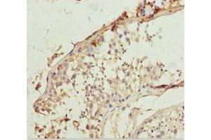
LCN6 Antikörper (AA 21-163)

Dieser Kaninchen Polyklonal Antikörper detektiert spezifisch LCN6 in IHC und ELISA. Es zeigt Reaktivität gegenüber Proben von Human.
Produktnummer ABIN7151912
328,90 €
Zzgl. Versandkosten 20,00 € und MwSt
Lieferung nach: Deutschland
Lieferung in 11 bis 15 Werktagen

Kurzübersicht für LCN6 Antikörper (AA 21-163) (ABIN7151912)

Target

Alle LCN6 Antikörper anzeigen
LCN6 (Lipocalin 6 (LCN6))

Reaktivität

  • 15
  • 9
  • 2
  • 2
Human

Wirt

  • 24
Kaninchen

Klonalität

  • 24
Polyklonal

Konjugat

  • 10
  • 5
  • 3
  • 1
  • 1
  • 1
  • 1
  • 1
  • 1
Dieser LCN6 Antikörper ist unkonjugiert

Applikation

  • 17
  • 10
  • 9
  • 6
  • 2
  • 1
  • 1
Immunohistochemistry (IHC), ELISA
  • Bindungsspezifität

    • 3
    • 3
    • 1
    • 1
    • 1
    • 1
    • 1
    • 1
    AA 21-163

    Verwendungszweck

    LCN6 Antibody

    Aufreinigung

    Antigen Affinity Purified

    Immunogen

    Recombinant Human Epididymal-specific lipocalin-6 protein (21-163AA)

    Isotyp

    IgG
  • Applikationshinweise

    Optimal working dilution should be determined by the investigator.

    Beschränkungen

    Nur für Forschungszwecke einsetzbar
  • Format

    Liquid

    Buffer

    PBS with 0.02 % sodium azide, 50 % glycerol, pH 7.3.

    Konservierungsmittel

    Sodium azide

    Vorsichtsmaßnahmen

    This product contains Sodium azide: a POISONOUS AND HAZARDOUS SUBSTANCE which should be handled by trained staff only.

    Lagerung

    -20 °C,-80 °C

    Informationen zur Lagerung

    Upon receipt, store at -20°C or -80°C. Avoid repeated freeze.
  • Target

    LCN6 (Lipocalin 6 (LCN6))

    Andere Bezeichnung

    LCN6

    Hintergrund

    Background: May play a role in male fertility.

    Aliases: LCN6 antibody, LCN5 antibody, UNQ643/PRO1273Epididymal-specific lipocalin-6 antibody, Lipocalin-5 antibody

    UniProt

    P62502
Sie sind hier:
Chat with us!