Telefon:
+49 (0)241 95 163 153
Fax:
+49 (0)241 95 163 155
E-Mail:
orders@antikoerper-online.de

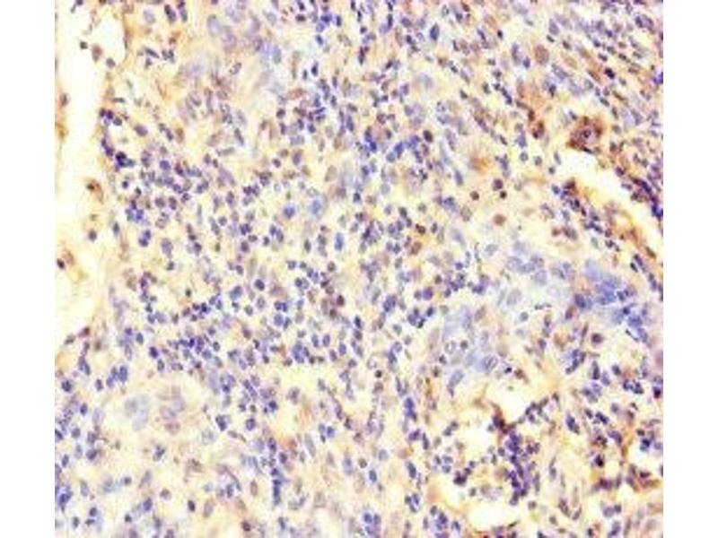
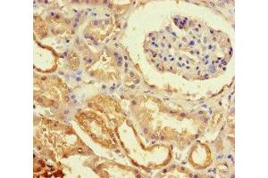
ECEL1 Antikörper (AA 425-775)

Der Kaninchen Polyklonal anti-ECEL1 Antikörper wird verwendet zum Nachweis von ECEL1 in Proben von Human. Er wurde validiert für ELISA, IHC und IF.
Produktnummer ABIN7151766
328,90 €
Zzgl. Versandkosten 20,00 € und MwSt
Lieferung nach: Deutschland
Lieferung in 11 bis 15 Werktagen

Kurzübersicht für ECEL1 Antikörper (AA 425-775) (ABIN7151766)

Target

Alle ECEL1 Antikörper anzeigen
ECEL1 (Endothelin Converting Enzyme-Like 1 (ECEL1))

Reaktivität

  • 7
  • 3
  • 2
Human

Wirt

  • 8
Kaninchen

Klonalität

  • 8
Polyklonal

Konjugat

  • 4
  • 2
  • 1
  • 1
Dieser ECEL1 Antikörper ist unkonjugiert

Applikation

ELISA, Immunohistochemistry (IHC), Immunofluorescence (IF)
  • Bindungsspezifität

    • 4
    • 1
    • 1
    AA 425-775

    Verwendungszweck

    ECEL1 Antibody

    Aufreinigung

    Protein G purified

    Reinheit

    >95 %

    Immunogen

    Recombinant Human Endothelin-converting enzyme-like 1 protein (425-775AA)

    Isotyp

    IgG
  • Applikationshinweise

    Optimal working dilution should be determined by the investigator.

    Beschränkungen

    Nur für Forschungszwecke einsetzbar
  • Format

    Liquid

    Buffer

    Preservative: 0.03 % Proclin 300
    Constituents: 50 % Glycerol, 0.01M PBS, PH 7.4

    Konservierungsmittel

    ProClin

    Vorsichtsmaßnahmen

    This product contains ProClin: a POISONOUS AND HAZARDOUS SUBSTANCE which should be handled by trained staff only.

    Lagerung

    -20 °C,-80 °C

    Informationen zur Lagerung

    Upon receipt, store at -20°C or -80°C. Avoid repeated freeze.
  • Target

    ECEL1 (Endothelin Converting Enzyme-Like 1 (ECEL1))

    Andere Bezeichnung

    ECEL1

    Hintergrund

    Background: May contribute to the degradation of peptide hormones and be involved in the inactivation of neuronal peptides.

    Aliases: Ecel1 antibody, ECEL1_HUMAN antibody, Endothelin-converting enzyme-like 1 antibody, Xce protein antibody

    UniProt

    O95672
Sie sind hier:
Chat with us!