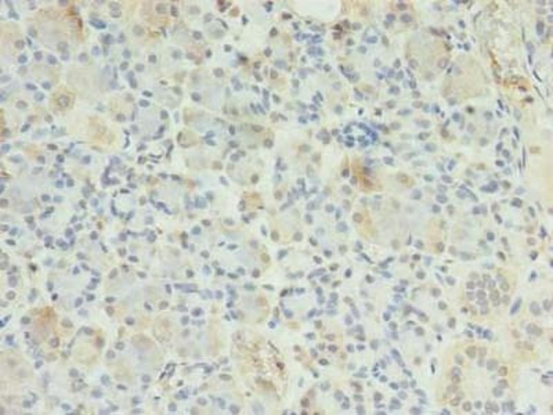
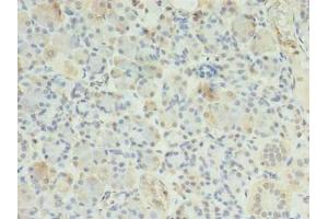
Der Kaninchen Polyklonal anti-ERP27 Antikörper (ABIN7151677) detektiert spezifisch ERP27 in ELISA und IHC.
Dieser Antikörper reagiert spezifisch mit Proben aus Human.
This product contains ProClin: a POISONOUS AND HAZARDOUS SUBSTANCE which should be handled by trained staff only.
Lagerung
-20 °C,-80 °C
Informationen zur Lagerung
Upon receipt, store at -20°C or -80°C. Avoid repeated freeze.
Target
ERP27
(Endoplasmic Reticulum Protein 27 (ERP27))
Andere Bezeichnung
ERP27
Hintergrund
C12orf46 antibody, Chromosome 12 open reading frame 46 antibody, Endoplasmic reticulum protein 27 antibody, Endoplasmic reticulum protein 27 kDa antibody, Endoplasmic reticulum resident protein 27 antibody, Endoplasmic reticulum resident protein ERp27 antibody, ER protein 27 antibody, ERp 27 antibody, ERp27 antibody, ERP27_HUMAN antibody, FLJ32115 antibody, PDIA8 antibody, Protein disulfide isomerase family A, member 8 antibody