Telefon:
+49 (0)241 95 163 153
Fax:
+49 (0)241 95 163 155
E-Mail:
orders@antikoerper-online.de

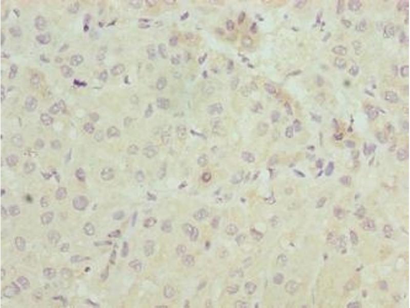
ELOVL2 Antikörper (AA 91-174)

Der Kaninchen Polyklonal anti-ELOVL2 Antikörper (ABIN7151560) detektiert spezifisch ELOVL2 in ELISA, IHC und IF. Dieser Antikörper reagiert spezifisch mit Proben aus Human.
Produktnummer ABIN7151560
328,90 €
Zzgl. Versandkosten 20,00 € und MwSt
Lieferung nach: Deutschland
Lieferung in 11 bis 15 Werktagen

Kurzübersicht für ELOVL2 Antikörper (AA 91-174) (ABIN7151560)

Target

Alle ELOVL2 Antikörper anzeigen
ELOVL2 (ELOVL Fatty Acid Elongase 2 (ELOVL2))

Reaktivität

  • 22
  • 16
  • 2
Human

Wirt

  • 37
Kaninchen

Klonalität

  • 37
Polyklonal

Konjugat

  • 13
  • 4
  • 3
  • 3
  • 2
  • 1
  • 1
  • 1
  • 1
  • 1
  • 1
  • 1
  • 1
  • 1
  • 1
  • 1
  • 1
Dieser ELOVL2 Antikörper ist unkonjugiert

Applikation

  • 29
  • 19
  • 13
  • 13
  • 12
  • 11
  • 7
  • 3
  • 1
ELISA, Immunohistochemistry (IHC), Immunofluorescence (IF)
  • Bindungsspezifität

    • 15
    • 8
    • 5
    • 4
    • 3
    • 2
    • 1
    • 1
    AA 91-174

    Verwendungszweck

    ELOVL2 Antibody

    Aufreinigung

    Protein G purified

    Reinheit

    >95 %

    Immunogen

    Recombinant Human Elongation of very long chain fatty acids protein 2 protein (91-174AA)

    Isotyp

    IgG
  • Applikationshinweise

    Optimal working dilution should be determined by the investigator.

    Beschränkungen

    Nur für Forschungszwecke einsetzbar
  • Format

    Liquid

    Buffer

    Preservative: 0.03 % Proclin 300
    Constituents: 50 % Glycerol, 0.01M PBS, PH 7.4

    Konservierungsmittel

    ProClin

    Vorsichtsmaßnahmen

    This product contains ProClin: a POISONOUS AND HAZARDOUS SUBSTANCE which should be handled by trained staff only.

    Lagerung

    -20 °C,-80 °C

    Informationen zur Lagerung

    Upon receipt, store at -20°C or -80°C. Avoid repeated freeze.
  • Target

    ELOVL2 (ELOVL Fatty Acid Elongase 2 (ELOVL2))

    Andere Bezeichnung

    ELOVL2

    Hintergrund

    Background: Catalyzes the first and rate-limiting reaction of the four that constitute the long-chain fatty acids elongation cycle. This endoplasmic reticulum-bound enzymatic process, allows the addition of 2 carbons to the chain of long- and very long-chain fatty acids/VLCFAs per cycle. Acts specifically toward polyunsaturated acyl-CoA with the higher activity toward C20:4(n-6) acyl-CoA. Condensing enzyme that catalyzes the synthesis of polyunsaturated very long chain fatty acid (C20- and C22-PUFA). May participate to the production of polyunsaturated VLCFAs of different chain lengths that are involved in multiple biological processes as precursors of membrane lipids and lipid mediators.

    Aliases: 3 keto acyl CoA synthase ELOVL2 antibody, 3-keto acyl-CoA synthase Elovl2 antibody, Elongation of very long chain fatty acids (FEN1/Elo2, SUR4/Elo3, yeast) like 2 antibody, Elongation of very long chain fatty acids protein 2 antibody, ELOV2_HUMAN antibody, ELOVL fatty acid elongase 2 antibody, Elovl2 antibody, FLJ20334 antibody, OTTHUMP00000016029 antibody, SSC2 antibody

    UniProt

    Q9NXB9
Sie sind hier:
Chat with us!