Telefon:
+49 (0)241 95 163 153
Fax:
+49 (0)241 95 163 155
E-Mail:
orders@antikoerper-online.de

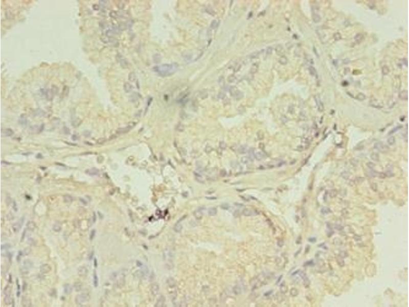
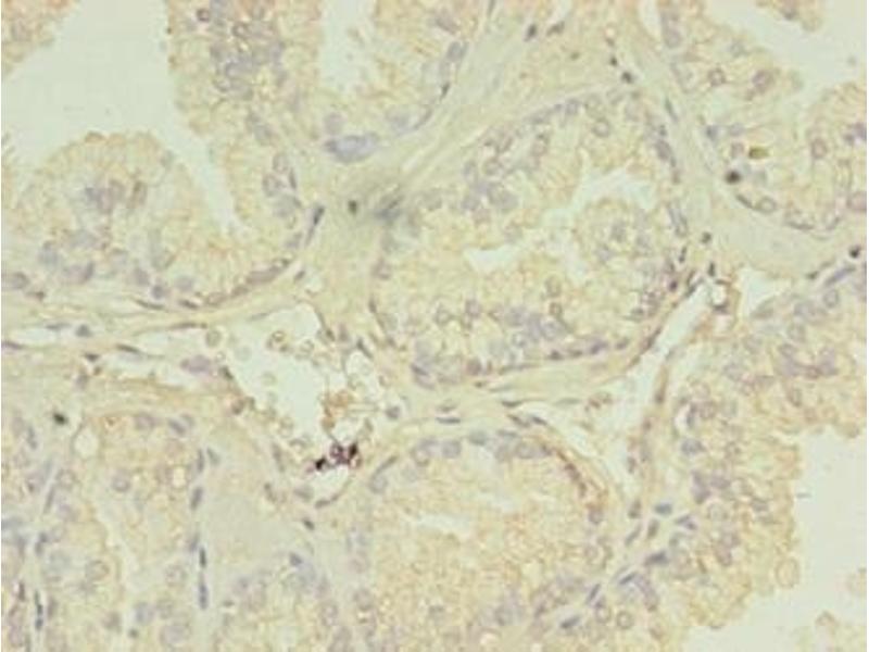
TRIM9 Antikörper (AA 1-550)

Dieser Kaninchen Polyklonal Antikörper detektiert spezifisch TRIM9 in ELISA und IHC. Es zeigt Reaktivität gegenüber Proben von Human.
Produktnummer ABIN7151288
328,90 €
Zzgl. Versandkosten 20,00 € und MwSt
Lieferung nach: Deutschland
Lieferung in 11 bis 15 Werktagen

Kurzübersicht für TRIM9 Antikörper (AA 1-550) (ABIN7151288)

Target

Alle TRIM9 Antikörper anzeigen
TRIM9 (Tripartite Motif Containing 9 (TRIM9))

Reaktivität

  • 39
  • 10
  • 10
  • 7
  • 6
  • 5
  • 5
  • 5
  • 4
  • 3
  • 3
  • 2
  • 2
  • 1
Human

Wirt

  • 31
  • 8
Kaninchen

Klonalität

  • 33
  • 6
Polyklonal

Konjugat

  • 30
  • 3
  • 2
  • 2
  • 1
  • 1
Dieser TRIM9 Antikörper ist unkonjugiert

Applikation

  • 33
  • 16
  • 13
  • 5
  • 4
  • 1
  • 1
  • 1
ELISA, Immunohistochemistry (IHC)
  • Bindungsspezifität

    • 8
    • 7
    • 7
    • 4
    • 2
    • 1
    • 1
    • 1
    • 1
    • 1
    • 1
    • 1
    • 1
    • 1
    AA 1-550

    Verwendungszweck

    TRIM9 Antibody

    Aufreinigung

    Protein G purified

    Reinheit

    >95 %

    Immunogen

    Recombinant Human E3 ubiquitin-protein ligase TRIM9 protein (1-550AA)

    Isotyp

    IgG
  • Applikationshinweise

    Optimal working dilution should be determined by the investigator.

    Beschränkungen

    Nur für Forschungszwecke einsetzbar
  • Format

    Liquid

    Buffer

    Preservative: 0.03 % Proclin 300
    Constituents: 50 % Glycerol, 0.01M PBS, PH 7.4

    Konservierungsmittel

    ProClin

    Vorsichtsmaßnahmen

    This product contains ProClin: a POISONOUS AND HAZARDOUS SUBSTANCE which should be handled by trained staff only.

    Lagerung

    -20 °C,-80 °C

    Informationen zur Lagerung

    Upon receipt, store at -20°C or -80°C. Avoid repeated freeze.
  • Target

    TRIM9 (Tripartite Motif Containing 9 (TRIM9))

    Andere Bezeichnung

    TRIM9

    Hintergrund

    Background: E3 ubiquitin-protein ligase which ubiquitinates itself in cooperation with an E2 enzyme UBE2D2/UBC4 and serves as a targeting signal for proteasomal degradation. May play a role in regulation of neuronal functions and may also participate in the formation or breakdown of abnormal inclusions in neurodegenerative disorders. May act as a regulator of synaptic vesicle exocytosis by controlling the availability of SNAP25 for the SNARE complex formation.

    Aliases: TRIM9 antibody, KIAA0282 antibody, RNF91 antibody, E3 ubiquitin-protein ligase TRIM9 antibody, EC 2.3.2.27 antibody, RING finger protein 91 antibody, RING-type E3 ubiquitin transferase TRIM9 antibody, Tripartite motif-containing protein 9 antibody

    UniProt

    Q9C026

    Pathways

    Synaptic Vesicle Exocytosis
Sie sind hier:
Chat with us!