Telefon:
+49 (0)241 95 163 153
Fax:
+49 (0)241 95 163 155
E-Mail:
orders@antikoerper-online.de

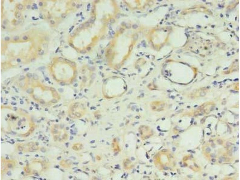
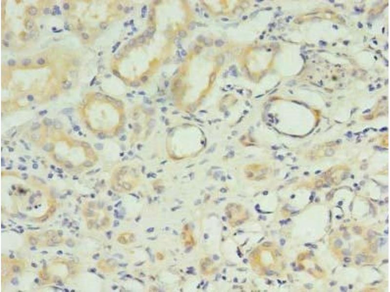
RNF183 Antikörper (AA 1-161)

Dieser Kaninchen Polyklonal Antikörper detektiert spezifisch RNF183 in ELISA, IHC und IF. Es zeigt Reaktivität gegenüber Proben von Human.
Produktnummer ABIN7151168
394,68 €
Zzgl. Versandkosten 20,00 € und MwSt
Lieferung nach: Deutschland
Lieferung in 11 bis 15 Werktagen

Kurzübersicht für RNF183 Antikörper (AA 1-161) (ABIN7151168)

Target

RNF183 (Ring Finger Protein 183 (RNF183))

Reaktivität

  • 17
  • 12
  • 2
  • 2
  • 2
  • 2
  • 1
  • 1
  • 1
Human

Wirt

  • 17
Kaninchen

Klonalität

  • 17
Polyklonal

Konjugat

  • 8
  • 3
  • 2
  • 2
  • 1
  • 1
Dieser RNF183 Antikörper ist unkonjugiert

Applikation

ELISA, Immunohistochemistry (IHC), Immunofluorescence (IF)
  • Bindungsspezifität

    • 7
    • 4
    • 2
    • 2
    • 2
    • 1
    • 1
    • 1
    AA 1-161

    Verwendungszweck

    RNF183 Antibody

    Aufreinigung

    Protein G purified

    Reinheit

    >95 %

    Immunogen

    Recombinant Human E3 ubiquitin-protein ligase RNF183 protein (1-161AA)

    Isotyp

    IgG
  • Applikationshinweise

    Optimal working dilution should be determined by the investigator.

    Beschränkungen

    Nur für Forschungszwecke einsetzbar
  • Format

    Liquid

    Buffer

    Preservative: 0.03 % Proclin 300
    Constituents: 50 % Glycerol, 0.01M PBS, PH 7.4

    Konservierungsmittel

    ProClin

    Vorsichtsmaßnahmen

    This product contains ProClin: a POISONOUS AND HAZARDOUS SUBSTANCE which should be handled by trained staff only.

    Lagerung

    -20 °C,-80 °C

    Informationen zur Lagerung

    Upon receipt, store at -20°C or -80°C. Avoid repeated freeze.
  • Target

    RNF183 (Ring Finger Protein 183 (RNF183))

    Andere Bezeichnung

    RNF183

    Hintergrund

    RING finger protein 183 antibody, RN183_HUMAN antibody, RNF 183 antibody, Rnf183 antibody

    UniProt

    Q96D59
Sie sind hier:
Chat with us!