Telefon:
+49 (0)241 95 163 153
Fax:
+49 (0)241 95 163 155
E-Mail:
orders@antikoerper-online.de

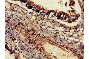
Dnah5 Antikörper (AA 2364-2560)

Der Kaninchen Polyklonal anti-Dnah5 Antikörper (ABIN7150873) detektiert spezifisch Dnah5 in ELISA und IHC. Dieser Antikörper reagiert spezifisch mit Proben aus Human.
Produktnummer ABIN7150873
328,90 €
Zzgl. Versandkosten 20,00 € und MwSt
Lieferung nach: Deutschland
Lieferung in 11 bis 15 Werktagen

Kurzübersicht für Dnah5 Antikörper (AA 2364-2560) (ABIN7150873)

Target

Alle Dnah5 Antikörper anzeigen
Dnah5 (Dynein, Axonemal, Heavy Chain 5 (Dnah5))

Reaktivität

  • 5
  • 1
  • 1
Human

Wirt

  • 5
Kaninchen

Klonalität

  • 5
Polyklonal

Konjugat

  • 2
  • 1
  • 1
  • 1
Dieser Dnah5 Antikörper ist unkonjugiert

Applikation

ELISA, Immunohistochemistry (IHC)
  • Bindungsspezifität

    • 4
    • 1
    AA 2364-2560

    Verwendungszweck

    DNAH5 Antibody

    Aufreinigung

    Protein G purified

    Reinheit

    >95 %

    Immunogen

    Recombinant Human Dynein heavy chain 5, axonemal protein (2364-2560AA)

    Isotyp

    IgG
  • Applikationshinweise

    Optimal working dilution should be determined by the investigator.

    Beschränkungen

    Nur für Forschungszwecke einsetzbar
  • Format

    Liquid

    Buffer

    Preservative: 0.03 % Proclin 300
    Constituents: 50 % Glycerol, 0.01M PBS, pH 7.4

    Konservierungsmittel

    ProClin

    Vorsichtsmaßnahmen

    This product contains ProClin: a POISONOUS AND HAZARDOUS SUBSTANCE which should be handled by trained staff only.

    Lagerung

    -20 °C,-80 °C

    Informationen zur Lagerung

    Upon receipt, store at -20°C or -80°C. Avoid repeated freeze.
  • Target

    Dnah5 (Dynein, Axonemal, Heavy Chain 5 (Dnah5))

    Andere Bezeichnung

    DNAH5

    Hintergrund

    Background: Force generating protein of respiratory cilia. Produces force towards the minus ends of microtubules. Dynein has ATPase activity, the force-producing power stroke is thought to occur on release of ADP. Required for structural and functional integrity of the cilia of ependymal cells lining the brain ventricles.

    Aliases: axonemal antibody, Axonemal beta dynein heavy chain 5 antibody, Ciliary dynein heavy chain 5 antibody, DNAH 5 antibody, Dnah5 antibody, DNAHC5 antibody, DYH5_HUMAN antibody, Dynein heavy chain 5 antibody, Dynein heavy chain 5, axonemal antibody, HL1 antibody, KIAA1603 antibody

    UniProt

    Q8TE73
Sie sind hier:
Chat with us!