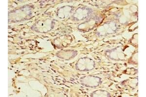
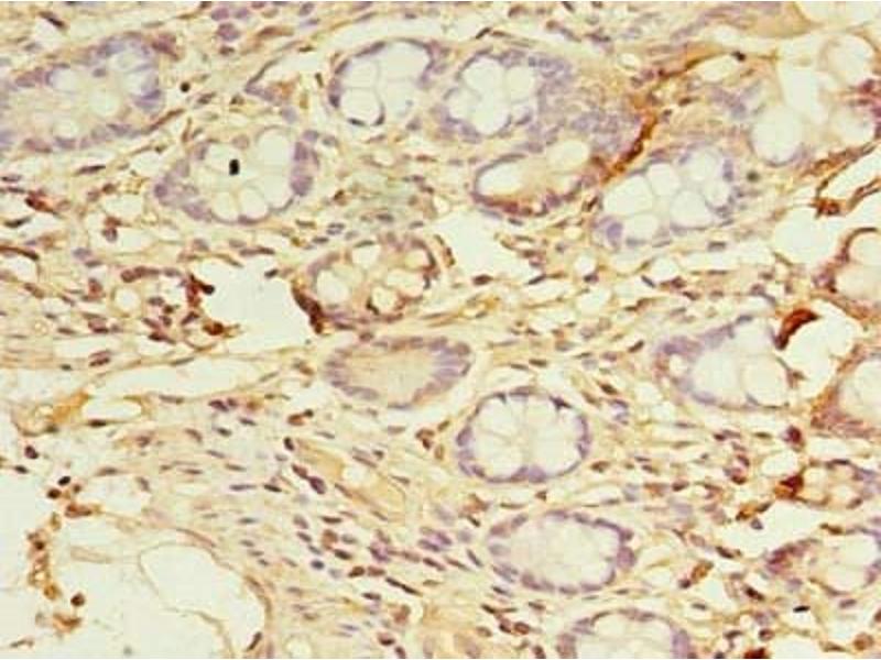
DYRK4 Antikörper (AA 201-520)
Kurzübersicht für DYRK4 Antikörper (AA 201-520) (ABIN7150796)
Target
Alle DYRK4 Antikörper anzeigenReaktivität
Wirt
Klonalität
Konjugat
Applikation
-
-
Bindungsspezifität
- AA 201-520
-
Verwendungszweck
- DYRK4 Antibody
-
Aufreinigung
- Protein G purified
-
Reinheit
- >95 %
-
Immunogen
- Recombinant Human Dual specificity tyrosine-phosphorylation-regulated kinase 4 protein (201-520AA)
-
Isotyp
- IgG
-
-
-
-
Applikationshinweise
- Optimal working dilution should be determined by the investigator.
-
Beschränkungen
- Nur für Forschungszwecke einsetzbar
-
-
-
Format
- Liquid
-
Buffer
-
Preservative: 0.03 % Proclin 300
Constituents: 50 % Glycerol, 0.01M PBS, PH 7.4 -
Konservierungsmittel
- ProClin
-
Vorsichtsmaßnahmen
- This product contains ProClin: a POISONOUS AND HAZARDOUS SUBSTANCE which should be handled by trained staff only.
-
Lagerung
- -20 °C,-80 °C
-
Informationen zur Lagerung
- Upon receipt, store at -20°C or -80°C. Avoid repeated freeze.
-
-
- DYRK4 (Dual-Specificity tyrosine-(Y)-phosphorylation Regulated Kinase 4 (DYRK4))
-
Andere Bezeichnung
- DYRK4
-
Hintergrund
-
Background: Possible non-essential role in spermiogenesis.
Aliases: DYRK4Dual specificity tyrosine-phosphorylation-regulated kinase 4 antibody, EC 2.7.12.1 antibody
-
UniProt
- Q9NR20
Target
-