Telefon:
+49 (0)241 95 163 153
Fax:
+49 (0)241 95 163 155
E-Mail:
orders@antikoerper-online.de

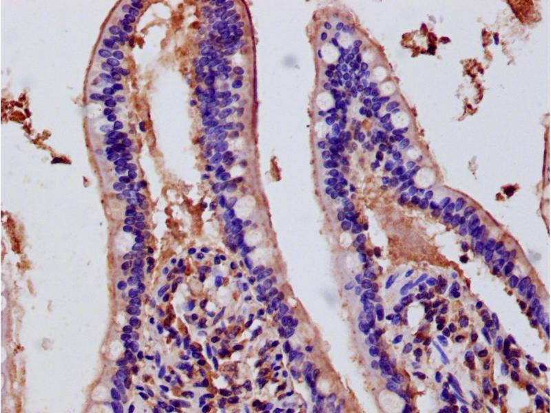
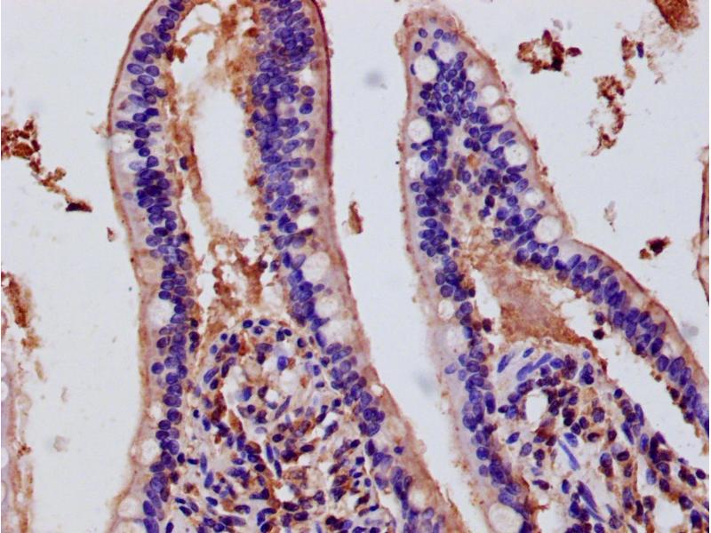
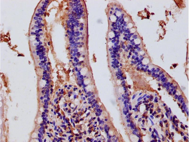
DUOX2 Antikörper (AA 1-100)

Der Kaninchen Polyklonal anti-DUOX2 Antikörper (ABIN7150690) detektiert spezifisch DUOX2 in IHC und ELISA. Dieser Antikörper reagiert spezifisch mit Proben aus Human.
Produktnummer ABIN7150690
328,90 €
Zzgl. Versandkosten 20,00 € und MwSt
Lieferung nach: Deutschland
Lieferung in 11 bis 15 Werktagen

Kurzübersicht für DUOX2 Antikörper (AA 1-100) (ABIN7150690)

Target

Alle DUOX2 Antikörper anzeigen
DUOX2 (Dual Oxidase 2 (DUOX2))

Reaktivität

  • 18
  • 6
  • 4
  • 1
  • 1
Human

Wirt

  • 20
  • 1
Kaninchen

Klonalität

  • 20
  • 1
Polyklonal

Konjugat

  • 11
  • 1
  • 1
  • 1
  • 1
  • 1
  • 1
  • 1
  • 1
  • 1
  • 1
Dieser DUOX2 Antikörper ist unkonjugiert

Applikation

  • 12
  • 9
  • 6
  • 6
  • 2
  • 1
  • 1
  • 1
  • 1
Immunohistochemistry (IHC), ELISA
  • Bindungsspezifität

    • 5
    • 2
    • 1
    • 1
    • 1
    • 1
    • 1
    • 1
    AA 1-100

    Verwendungszweck

    DUOX2 Antibody

    Aufreinigung

    Antigen Affinity Purified

    Immunogen

    Recombinant Human Dual oxidase 2 protein (1-100AA)

    Isotyp

    IgG
  • Applikationshinweise

    Optimal working dilution should be determined by the investigator.

    Beschränkungen

    Nur für Forschungszwecke einsetzbar
  • Format

    Liquid

    Buffer

    PBS with 0.02 % sodium azide, 50 % glycerol, pH 7.3.

    Konservierungsmittel

    Sodium azide

    Vorsichtsmaßnahmen

    This product contains Sodium azide: a POISONOUS AND HAZARDOUS SUBSTANCE which should be handled by trained staff only.

    Lagerung

    -20 °C,-80 °C

    Informationen zur Lagerung

    Upon receipt, store at -20°C or -80°C. Avoid repeated freeze.
  • Target

    DUOX2 (Dual Oxidase 2 (DUOX2))

    Andere Bezeichnung

    DUOX2

    Hintergrund

    Background: Generates hydrogen peroxide which is required for the activity of thyroid peroxidase/TPO and lactoperoxidase/LPO. Plays a role in thyroid hormones synthesis and lactoperoxidase-mediated antimicrobial defense at the surface of mucosa. May have its own peroxidase activity through its N-terminal peroxidase-like domain.

    Aliases: Dual oxidase 2 antibody, Dual oxidase like domains 2 antibody, Dual oxidase2 antibody, DUOX2 antibody, DUOX2_HUMAN antibody, Flavoprotein NADPH oxidase antibody, Large NOX 2 antibody, LNOX2 antibody, Long NOX 2 antibody, NADH/NADPH thyroid oxidase p138 tox antibody, NADH/NADPH thyroid oxidase p138-tox antibody, NADPH oxidase/peroxidase DUOX2 antibody, NADPH thyroid oxidase 2 antibody, Nicotinamide adenine dinucleotide phosphate oxidase antibody, NOXEF2 antibody, p138 thyroid oxidase antibody, P138 TOX antibody, TDH6 antibody, THOX2 antibody, Thyroid oxidase 2 antibody

    UniProt

    Q9NRD8

    Pathways

    Thyroid Hormone Synthesis
Sie sind hier:
Chat with us!