Telefon:
+49 (0)241 95 163 153
Fax:
+49 (0)241 95 163 155
E-Mail:
orders@antikoerper-online.de

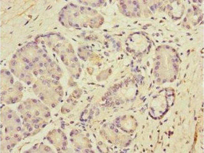
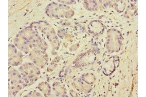
DUOX1 Antikörper (AA 1312-1551)

Der Kaninchen Polyklonal anti-DUOX1 Antikörper wird verwendet zum Nachweis von DUOX1 in Proben von Human. Er wurde validiert für ELISA und IHC.
Produktnummer ABIN7150689
328,90 €
Zzgl. Versandkosten 20,00 € und MwSt
Lieferung nach: Deutschland
Lieferung in 11 bis 15 Werktagen

Kurzübersicht für DUOX1 Antikörper (AA 1312-1551) (ABIN7150689)

Target

Alle DUOX1 Antikörper anzeigen
DUOX1 (Dual Oxidase 1 (DUOX1))

Reaktivität

  • 6
  • 2
  • 1
Human

Wirt

  • 3
  • 2
  • 1
Kaninchen

Klonalität

  • 6
Polyklonal

Konjugat

  • 6
Dieser DUOX1 Antikörper ist unkonjugiert

Applikation

  • 5
  • 4
  • 1
  • 1
  • 1
  • 1
  • 1
  • 1
ELISA, Immunohistochemistry (IHC)
  • Bindungsspezifität

    • 1
    • 1
    • 1
    • 1
    • 1
    • 1
    AA 1312-1551

    Verwendungszweck

    DUOX1 Antibody

    Aufreinigung

    Antigen Affinity Purified

    Immunogen

    Recombinant Human Dual oxidase 1 protein (1312-1551AA)

    Isotyp

    IgG
  • Applikationshinweise

    Optimal working dilution should be determined by the investigator.

    Beschränkungen

    Nur für Forschungszwecke einsetzbar
  • Format

    Liquid

    Buffer

    PBS with 0.02 % sodium azide, 50 % glycerol, pH 7.3.

    Konservierungsmittel

    Sodium azide

    Vorsichtsmaßnahmen

    This product contains Sodium azide: a POISONOUS AND HAZARDOUS SUBSTANCE which should be handled by trained staff only.

    Lagerung

    -20 °C,-80 °C

    Informationen zur Lagerung

    Upon receipt, store at -20°C or -80°C. Avoid repeated freeze.
  • Target

    DUOX1 (Dual Oxidase 1 (DUOX1))

    Andere Bezeichnung

    DUOX1

    Hintergrund

    Background: Generates hydrogen peroxide which is required for the activity of thyroid peroxidase/TPO and lactoperoxidase/LPO. Plays a role in thyroid hormones synthesis and lactoperoxidase-mediated antimicrobial defense at the surface of mucosa. May have its own peroxidase activity through its N-terminal peroxidase-like domain.

    Aliases: DUOX1 antibody, DUOX antibody, LNOX1 antibody, THOX1Dual oxidase 1 antibody, EC 1.11.1.- antibody, EC 1.6.3.1 antibody, Large NOX 1 antibody, Long NOX 1 antibody, NADPH thyroid oxidase 1 antibody, Thyroid oxidase 1 antibody

    UniProt

    Q9NRD9
Sie sind hier:
Chat with us!