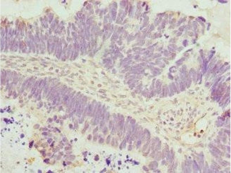
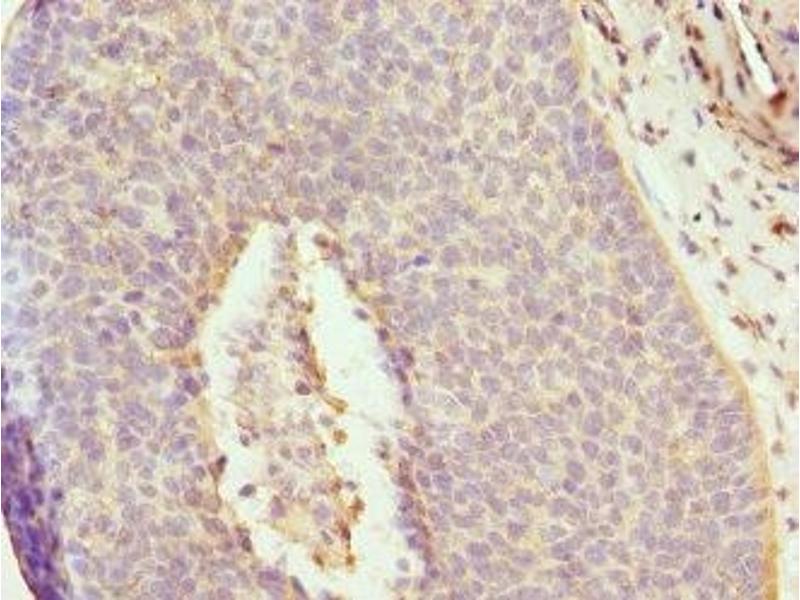
DAAM2 Antikörper (AA 1-86)
Kurzübersicht für DAAM2 Antikörper (AA 1-86) (ABIN7150033)
Target
Reaktivität
Wirt
Klonalität
Konjugat
Applikation
-
-
Bindungsspezifität
- AA 1-86
-
Verwendungszweck
- DAAM2 Antibody
-
Aufreinigung
- Antigen Affinity Purified
-
Immunogen
- Recombinant Human Disheveled-associated activator of morphogenesis 2 protein (1-86AA)
-
Isotyp
- IgG
-
-
-
-
Applikationshinweise
- Optimal working dilution should be determined by the investigator.
-
Beschränkungen
- Nur für Forschungszwecke einsetzbar
-
-
-
Format
- Liquid
-
Buffer
- PBS with 0.02 % sodium azide, 50 % glycerol, pH 7.3.
-
Konservierungsmittel
- Sodium azide
-
Vorsichtsmaßnahmen
- This product contains Sodium azide: a POISONOUS AND HAZARDOUS SUBSTANCE which should be handled by trained staff only.
-
Lagerung
- -20 °C,-80 °C
-
Informationen zur Lagerung
- Upon receipt, store at -20°C or -80°C. Avoid repeated freeze.
-
-
- DAAM2 (Dishevelled Associated Activator of Morphogenesis 2 (DAAM2))
-
Andere Bezeichnung
- DAAM2
-
Hintergrund
-
Background: extracellular exosome
Aliases: DAAM2 antibody, DAAM2_HUMAN antibody, Disheveled-associated activator of morphogenesis 2 antibody, dishevelled associated activator of morphogenesis 2 antibody, dJ90A20A.1 antibody, KIAA0381 antibody, MGC90515 antibody, RP1 278E11.1 antibody
-
UniProt
- Q86T65
Target
-