Telefon:
+49 (0)241 95 163 153
Fax:
+49 (0)241 95 163 155
E-Mail:
orders@antikoerper-online.de

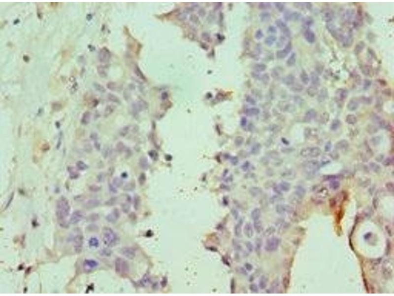
DPP8 Antikörper (AA 10-230)

Der Kaninchen Polyklonal anti-DPP8 Antikörper (ABIN7149988) detektiert spezifisch DPP8 in IHC und ELISA. Dieser Antikörper reagiert spezifisch mit Proben aus Human.
Produktnummer ABIN7149988
328,90 €
Zzgl. Versandkosten 20,00 € und MwSt
Lieferung nach: Deutschland
Lieferung in 11 bis 15 Werktagen

Kurzübersicht für DPP8 Antikörper (AA 10-230) (ABIN7149988)

Target

Alle DPP8 Antikörper anzeigen
DPP8 (Dipeptidyl-Peptidase 8 (DPP8))

Reaktivität

  • 37
  • 6
  • 4
  • 2
  • 2
  • 1
  • 1
  • 1
  • 1
  • 1
Human

Wirt

  • 31
  • 7
Kaninchen

Klonalität

  • 32
  • 6
Polyklonal

Konjugat

  • 31
  • 1
  • 1
  • 1
  • 1
  • 1
  • 1
  • 1
Dieser DPP8 Antikörper ist unkonjugiert

Applikation

  • 26
  • 16
  • 11
  • 7
  • 6
  • 6
  • 5
  • 4
  • 1
  • 1
  • 1
  • 1
  • 1
Immunohistochemistry (IHC), ELISA
  • Bindungsspezifität

    • 4
    • 3
    • 2
    • 2
    • 2
    • 2
    • 2
    • 1
    • 1
    • 1
    • 1
    • 1
    • 1
    • 1
    • 1
    • 1
    • 1
    AA 10-230

    Verwendungszweck

    DPP8 Antibody

    Aufreinigung

    Antigen Affinity Purified

    Immunogen

    Recombinant Human Dipeptidyl peptidase 8 protein (10-230AA)

    Isotyp

    IgG
  • Applikationshinweise

    Optimal working dilution should be determined by the investigator.

    Beschränkungen

    Nur für Forschungszwecke einsetzbar
  • Format

    Liquid

    Buffer

    PBS with 0.02 % sodium azide, 50 % glycerol, pH 7.3.

    Konservierungsmittel

    Sodium azide

    Vorsichtsmaßnahmen

    This product contains Sodium azide: a POISONOUS AND HAZARDOUS SUBSTANCE which should be handled by trained staff only.

    Lagerung

    -20 °C,-80 °C

    Informationen zur Lagerung

    Upon receipt, store at -20°C or -80°C. Avoid repeated freeze.
  • Target

    DPP8 (Dipeptidyl-Peptidase 8 (DPP8))

    Andere Bezeichnung

    DPP8

    Hintergrund

    Background: Dipeptidyl peptidase that cleaves off N-terminal dipeptides from proteins having a Pro or Ala residue at position 2. May play a role in T-cell activation and immune function.

    Aliases: Dipeptidyl peptidase 8 antibody, Dipeptidyl peptidase IV-related protein 1 antibody, Dipeptidyl peptidase VIII antibody, Dipeptidylpeptidase 8 antibody, DP8 antibody, DPP VIII antibody, Dpp8 antibody, DPP8_HUMAN antibody, DPRP-1 antibody, DPRP1 antibody, EC 3.4.14.5 antibody, MSTP141 antibody, Prolyl dipeptidase DPP8 antibody

    UniProt

    Q6V1X1
Sie sind hier:
Chat with us!