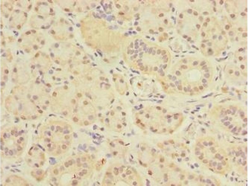
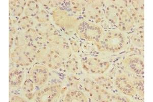
DEXI Antikörper (AA 1-95)
Dieser Kaninchen Polyklonal Antikörper detektiert spezifisch DEXI in ELISA und IHC. Es zeigt Reaktivität gegenüber Proben von Human.
Produktnummer ABIN7149836
328,90 €
Zzgl. Versandkosten 20,00 € und MwSt
Lieferung in 11 bis 15 Werktagen
Kurzübersicht für DEXI Antikörper (AA 1-95) (ABIN7149836)
Target
Alle DEXI Antikörper anzeigen
DEXI
(Dexamethasone-Induced Transcript (DEXI))
Reaktivität
Human
Wirt
Kaninchen
Klonalität
Polyklonal
Konjugat
Dieser DEXI Antikörper ist unkonjugiert
Applikation
ELISA, Immunohistochemistry (IHC)
-
-
Bindungsspezifität
-
AA 1-95
-
Verwendungszweck
-
DEXI Antibody
-
Aufreinigung
-
Antigen Affinity Purified
-
Immunogen
-
Recombinant Human Dexamethasone-induced protein (1-95AA)
-
Isotyp
-
IgG
-
-
-
Applikationshinweise
-
Optimal working dilution should be determined by the investigator.
-
Beschränkungen
-
Nur für Forschungszwecke einsetzbar
-
-
Format
-
Liquid
-
Buffer
-
Preservative: 0.03 % Proclin 300
Constituents: 50 % Glycerol, 0.01M PBS, PH 7.4
-
Konservierungsmittel
-
ProClin
-
Vorsichtsmaßnahmen
-
This product contains ProClin: a POISONOUS AND HAZARDOUS SUBSTANCE which should be handled by trained staff only.
-
Lagerung
-
-20 °C,-80 °C
-
Informationen zur Lagerung
-
Upon receipt, store at -20°C or -80°C. Avoid repeated freeze.
-
Target
-
DEXI
(Dexamethasone-Induced Transcript (DEXI))
-
Andere Bezeichnung
-
DEXI
-
Hintergrund
-
DEXI antibody, MYLEDexamethasone-induced protein antibody, Protein MYLE antibody
-
UniProt
-
O95424
-
Sie sind hier:
-
Startseite
-
anti-DEXI Antikörper (AA 1-95) (ABIN7149836)