Telefon:
+49 (0)241 95 163 153
Fax:
+49 (0)241 95 163 155
E-Mail:
orders@antikoerper-online.de

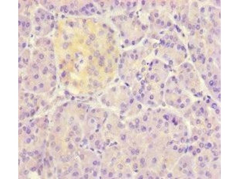
DET1 Antikörper (AA 5-190)

Dieser Kaninchen Polyklonal Antikörper detektiert spezifisch DET1 in ELISA und IHC. Es zeigt Reaktivität gegenüber Proben von Human.
Produktnummer ABIN7149800
328,90 €
Zzgl. Versandkosten 20,00 € und MwSt
Lieferung nach: Deutschland
Lieferung in 11 bis 15 Werktagen

Kurzübersicht für DET1 Antikörper (AA 5-190) (ABIN7149800)

Target

Alle DET1 Antikörper anzeigen
DET1

Reaktivität

  • 10
  • 3
  • 2
  • 1
  • 1
  • 1
  • 1
  • 1
  • 1
  • 1
  • 1
Human

Wirt

  • 10
Kaninchen

Klonalität

  • 10
Polyklonal

Konjugat

  • 6
  • 2
  • 1
  • 1
Dieser DET1 Antikörper ist unkonjugiert

Applikation

  • 5
  • 4
  • 1
ELISA, Immunohistochemistry (IHC)
  • Bindungsspezifität

    • 4
    • 2
    • 1
    • 1
    AA 5-190

    Verwendungszweck

    DET1 Antibody

    Aufreinigung

    Protein G purified

    Reinheit

    >95 %

    Immunogen

    Recombinant Human DET1 homolog protein (5-190AA)

    Isotyp

    IgG
  • Applikationshinweise

    Optimal working dilution should be determined by the investigator.

    Beschränkungen

    Nur für Forschungszwecke einsetzbar
  • Format

    Liquid

    Buffer

    Preservative: 0.03 % Proclin 300
    Constituents: 50 % Glycerol, 0.01M PBS, PH 7.4

    Konservierungsmittel

    ProClin

    Vorsichtsmaßnahmen

    This product contains ProClin: a POISONOUS AND HAZARDOUS SUBSTANCE which should be handled by trained staff only.

    Lagerung

    -20 °C,-80 °C

    Informationen zur Lagerung

    Upon receipt, store at -20°C or -80°C. Avoid repeated freeze.
  • Target

    DET1

    Andere Bezeichnung

    DET1

    Hintergrund

    Background: Component of the E3 ubiquitin ligase DCX DET1-COP1 complex, which is required for ubiquitination and subsequent degradation of target proteins. The complex is involved in JUN ubiquitination and degradation.

    Aliases: DET1 antibody, DET1 homolog antibody, De-etiolated-1 homolog antibody

    UniProt

    Q7L5Y6
Sie sind hier:
Chat with us!