Telefon:
+49 (0)241 95 163 153
Fax:
+49 (0)241 95 163 155
E-Mail:
orders@antikoerper-online.de

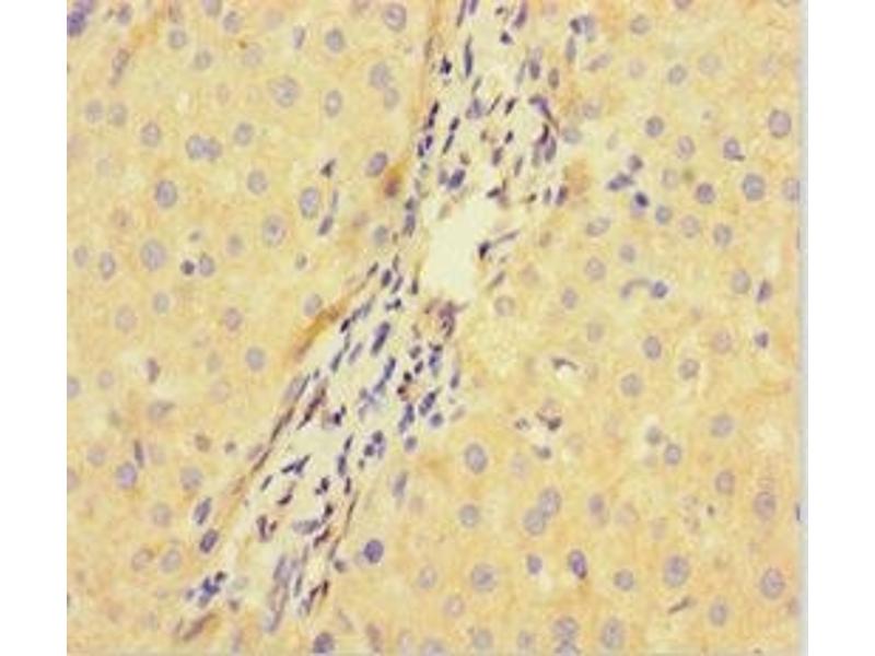
DDB1 and CUL4-Associated Factor 1 (DCAF1) (AA 647-745) Antikörper

Der Kaninchen Polyklonal anti-DDB1 and CUL4-Associated Factor 1 Antikörper (ABIN7149517) detektiert spezifisch DDB1 and CUL4-Associated Factor 1 in ELISA, IHC und IF. Dieser Antikörper reagiert spezifisch mit Proben aus Human.
Produktnummer ABIN7149517
328,90 €
Zzgl. Versandkosten 20,00 € und MwSt
Lieferung nach: Deutschland
Lieferung in 11 bis 15 Werktagen

Kurzübersicht für DDB1 and CUL4-Associated Factor 1 (DCAF1) (AA 647-745) Antikörper (ABIN7149517)

Target

DDB1 and CUL4-Associated Factor 1 (DCAF1)

Reaktivität

  • 9
  • 3
  • 3
Human

Wirt

  • 9
Kaninchen

Klonalität

  • 8
  • 1
Polyklonal

Konjugat

  • 6
  • 1
  • 1
  • 1
Unkonjugiert

Applikation

  • 6
  • 5
  • 4
  • 4
  • 2
  • 2
  • 1
ELISA, Immunohistochemistry (IHC), Immunofluorescence (IF)
  • Bindungsspezifität

    • 3
    • 1
    • 1
    • 1
    AA 647-745

    Verwendungszweck

    DCAF1 Antibody

    Aufreinigung

    Protein G purified

    Reinheit

    >95 %

    Immunogen

    Recombinant Human DDB1- and CUL4-associated factor 1 protein (647-745AA)

    Isotyp

    IgG
  • Applikationshinweise

    Optimal working dilution should be determined by the investigator.

    Beschränkungen

    Nur für Forschungszwecke einsetzbar
  • Format

    Liquid

    Buffer

    Preservative: 0.03 % Proclin 300
    Constituents: 50 % Glycerol, 0.01M PBS, PH 7.4

    Konservierungsmittel

    ProClin

    Vorsichtsmaßnahmen

    This product contains ProClin: a POISONOUS AND HAZARDOUS SUBSTANCE which should be handled by trained staff only.

    Lagerung

    -20 °C,-80 °C

    Informationen zur Lagerung

    Upon receipt, store at -20°C or -80°C. Avoid repeated freeze.
  • Target

    DDB1 and CUL4-Associated Factor 1 (DCAF1)

    Andere Bezeichnung

    DCAF1

    Hintergrund

    Background: Acts both as a substrate recognition component of E3 ubiquitin-protein ligase complexes and as an atypical serine/threonine-protein kinase, playing key roles in various processes such as cell cycle, telomerase regulation and histone modification. Probable substrate-specific adapter of a DCX (DDB1-CUL4-X-box) E3 ubiquitin-protein ligase complex, named CUL4A-RBX1-DDB1-DCAF1/VPRBP complex, which mediates ubiquitination and proteasome-dependent degradation of proteins such as NF2. Involved in the turnover of methylated proteins: recognizes and binds methylated proteins via its chromo domain, leading to ubiquitination of target proteins by the RBX1-DDB1-DCAF1/VPRBP complex (PubMed:23063525). The CUL4A-RBX1-DDB1-DCAF1/VPRBP complex is also involved in B-cell development: VPRBP is recruited by RAG1 to ubiquitinate proteins, leading to limit error-prone repair during V(D)J recombination. Also part of the EDVP complex, an E3 ligase complex that mediates ubiquitination of proteins such as TERT, leading to TERT degradation and telomerase inhibition (PubMed:23362280). Also acts as an atypical serine/threonine-protein kinase that specifically mediates phosphorylation of \\\'Thr-120\\\' of histone H2A (H2AT120ph) in a nucleosomal context, thereby repressing transcription. H2AT120ph is present in the regulatory region of many tumor suppresor genes, down-regulates their transcription and is present at high level in a number of tumors (PubMed:24140421). Involved in JNK-mediated apoptosis during cell competition process via its interaction with LLGL1 and LLGL2 (PubMed:20644714). In case of infection by HIV-1 virus, it is recruited by HIV-1 Vpr in order to hijack the CUL4A-RBX1-DDB1-DCAF1/VPRBP function leading to arrest the cell cycle in G2 phase, and also to protect the viral protein from proteasomal degradation by another E3 ubiquitin ligase. The HIV-1 Vpr protein hijacks the CUL4A-RBX1-DDB1-DCAF1/VPRBP complex to promote ubiquitination and degradation of proteins such as TERT and ZIP/ZGPAT. In case of infection by HIV-2 virus, it is recruited by HIV-2 Vpx in order to hijack the CUL4A-RBX1-DDB1-DCAF1/VPRBP function leading to enhanced efficiency of macrophage infection and promotion of the replication of cognate primate lentiviruses in cells of monocyte/macrophage lineage.

    Aliases: DCAF1 antibody, KIAA0800 antibody, RIP antibody, VPRBPDDB1- and CUL4-associated factor 1 antibody, HIV-1 Vpr-binding protein antibody, VprBP antibody, Serine/threonine-protein kinase VPRBP antibody, EC 2.7.11.1 antibody, Vpr-interacting protein antibody

    UniProt

    Q9Y4B6
Sie sind hier:
Chat with us!