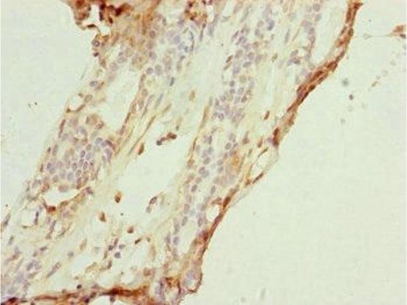
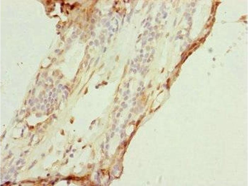
COX7A2L Antikörper (AA 1-114)
Kurzübersicht für COX7A2L Antikörper (AA 1-114) (ABIN7149183)
Target
Alle COX7A2L Antikörper anzeigenReaktivität
Wirt
Klonalität
Konjugat
Applikation
-
-
Bindungsspezifität
- AA 1-114
-
Verwendungszweck
- COX7A2L Antibody
-
Aufreinigung
- Antigen Affinity Purified
-
Immunogen
- Recombinant Human Cytochrome c oxidase subunit 7A-related protein, mitochondrial protein (1-114AA)
-
Isotyp
- IgG
-
-
-
-
Applikationshinweise
- Optimal working dilution should be determined by the investigator.
-
Beschränkungen
- Nur für Forschungszwecke einsetzbar
-
-
-
Format
- Liquid
-
Buffer
- PBS with 0.02 % sodium azide, 50 % glycerol, pH 7.3.
-
Konservierungsmittel
- Sodium azide
-
Vorsichtsmaßnahmen
- This product contains Sodium azide: a POISONOUS AND HAZARDOUS SUBSTANCE which should be handled by trained staff only.
-
Lagerung
- -20 °C,-80 °C
-
Informationen zur Lagerung
- Upon receipt, store at -20°C or -80°C. Avoid repeated freeze.
-
-
- COX7A2L (Cytochrome C Oxidase Subunit VIIa Polypeptide 2 Like (COX7A2L))
-
Andere Bezeichnung
- COX7A2L
-
Hintergrund
-
Background: Involved in the regulation of oxidative phosphorylation and energy metabolism (By similarity). Necessary for the assembly of mitochondrial respiratory supercomplex (By similarity).
Aliases: COX7a related protein antibody, COX7a-related protein antibody, COX7A2L antibody, COX7AR antibody, COX7R_HUMAN antibody, COX7RP antibody, Cytochrome c oxidase subunit 7A-related protein antibody, cytochrome c oxidase subunit 7A-related protein, mitochondrial antibody, Cytochrome c oxidase subunit 7A2 like antibody, cytochrome c oxidase subunit VII-related protein antibody, cytochrome c oxidase subunit VIIa polypeptide 2 like antibody, Cytochrome c oxidase subunit VIIa related protein, mitochondrial antibody, Cytochrome c oxidase subunit VIIa-related protein antibody, EB1 antibody, Estrogen receptor binding CpG island antibody, mitochondrial antibody, SIG81 antibody
-
UniProt
- O14548
Target
-