Telefon:
+49 (0)241 95 163 153
Fax:
+49 (0)241 95 163 155
E-Mail:
orders@antikoerper-online.de

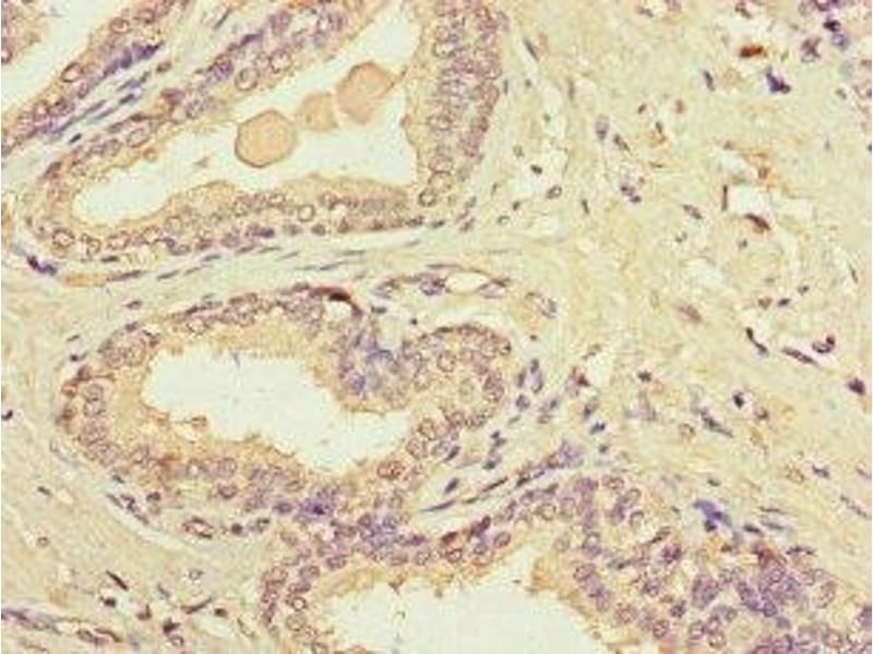
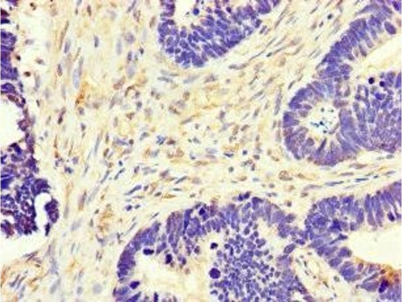
COX1 Antikörper (AA 474-513)

Der Kaninchen Polyklonal anti-COX1 Antikörper (ABIN7149154) detektiert spezifisch COX1 in ELISA, IHC und IF. Dieser Antikörper reagiert spezifisch mit Proben aus Human.
Produktnummer ABIN7149154
328,90 €
Zzgl. Versandkosten 20,00 € und MwSt
Lieferung nach: Deutschland
Lieferung in 11 bis 15 Werktagen

Kurzübersicht für COX1 Antikörper (AA 474-513) (ABIN7149154)

Target

Alle COX1 Antikörper anzeigen
COX1 (Cytochrome C Oxidase Subunit I (COX1))

Reaktivität

  • 51
  • 41
  • 30
  • 4
  • 1
  • 1
  • 1
Human

Wirt

  • 69
  • 4
  • 2
Kaninchen

Klonalität

  • 62
  • 13
Polyklonal

Konjugat

  • 27
  • 4
  • 4
  • 3
  • 3
  • 3
  • 3
  • 3
  • 3
  • 3
  • 2
  • 2
  • 1
  • 1
  • 1
  • 1
  • 1
  • 1
  • 1
  • 1
  • 1
  • 1
  • 1
  • 1
  • 1
  • 1
  • 1
Dieser COX1 Antikörper ist unkonjugiert

Applikation

  • 53
  • 23
  • 21
  • 19
  • 18
  • 13
  • 13
  • 13
  • 9
  • 6
  • 3
  • 2
ELISA, Immunohistochemistry (IHC), Immunofluorescence (IF)
  • Bindungsspezifität

    • 15
    • 8
    • 5
    • 5
    • 4
    • 2
    • 2
    • 2
    • 1
    • 1
    • 1
    • 1
    • 1
    • 1
    • 1
    • 1
    AA 474-513

    Verwendungszweck

    MT-CO1 Antibody

    Aufreinigung

    Protein G purified

    Reinheit

    >95 %

    Immunogen

    Recombinant Human Cytochrome c oxidase subunit 1 protein (474-513AA)

    Isotyp

    IgG
  • Applikationshinweise

    Optimal working dilution should be determined by the investigator.

    Beschränkungen

    Nur für Forschungszwecke einsetzbar
  • Format

    Liquid

    Buffer

    Preservative: 0.03 % Proclin 300
    Constituents: 50 % Glycerol, 0.01M PBS, PH 7.4

    Konservierungsmittel

    ProClin

    Vorsichtsmaßnahmen

    This product contains ProClin: a POISONOUS AND HAZARDOUS SUBSTANCE which should be handled by trained staff only.

    Lagerung

    -20 °C,-80 °C

    Informationen zur Lagerung

    Upon receipt, store at -20°C or -80°C. Avoid repeated freeze.
  • Target

    COX1 (Cytochrome C Oxidase Subunit I (COX1))

    Andere Bezeichnung

    MT-CO1

    Hintergrund

    Background: Cytochrome c oxidase is the component of the respiratory chain that catalyzes the reduction of oxygen to water. Subunits 1-3 form the functional core of the enzyme complex. CO I is the catalytic subunit of the enzyme. Electrons originating in cytochrome c are transferred via the copper A center of subunit 2 and heme A of subunit 1 to the bimetallic center formed by heme A3 and copper B.

    Aliases: COI antibody, COX I antibody, COX1 antibody, COX1_HUMAN antibody, COXI antibody, Cytochrome c oxidase polypeptide I antibody, Cytochrome c oxidase subunit 1 antibody, Cytochrome C Oxidase subunit I antibody, Mitochondrially encoded cytochrome c oxidase I antibody, MT CO1 antibody, MT-CO1 antibody, MTCO 1 antibody, MTCO1 antibody

    UniProt

    P00395

    Pathways

    Proton Transport
Sie sind hier:
Chat with us!