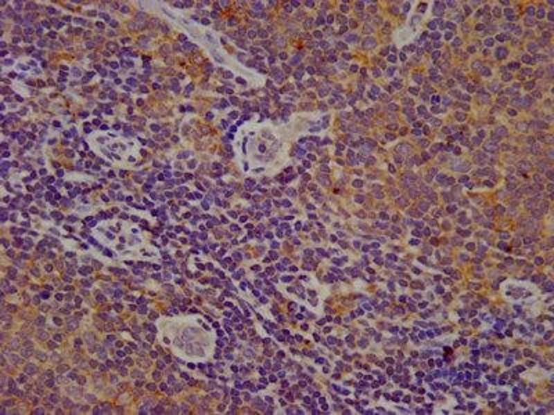
CYBA Antikörper (AA 128-195)
Kurzübersicht für CYBA Antikörper (AA 128-195) (ABIN7149098)
Target
Alle CYBA Antikörper anzeigenReaktivität
Wirt
Klonalität
Konjugat
Applikation
-
-
Bindungsspezifität
- AA 128-195
-
Verwendungszweck
- CYBA Antibody
-
Aufreinigung
- Protein G purified
-
Reinheit
- >95 %
-
Immunogen
- Recombinant Human Cytochrome b-245 light chain protein (128-195AA)
-
Isotyp
- IgG
-
-
-
-
Applikationshinweise
- Optimal working dilution should be determined by the investigator.
-
Beschränkungen
- Nur für Forschungszwecke einsetzbar
-
-
-
Format
- Liquid
-
Buffer
-
Preservative: 0.03 % Proclin 300
Constituents: 50 % Glycerol, 0.01M PBS, pH 7.4 -
Konservierungsmittel
- ProClin
-
Vorsichtsmaßnahmen
- This product contains ProClin: a POISONOUS AND HAZARDOUS SUBSTANCE which should be handled by trained staff only.
-
Lagerung
- -20 °C,-80 °C
-
Informationen zur Lagerung
- Upon receipt, store at -20°C or -80°C. Avoid repeated freeze.
-
-
- CYBA (Cytochrome B-245, alpha Polypeptide (CYBA))
-
Andere Bezeichnung
- CYBA
-
Hintergrund
-
Background: Critical component of the membrane-bound oxidase of phagocytes that generates superoxide. Associates with NOX3 to form a functional NADPH oxidase constitutively generating superoxide.
Aliases: CYBACytochrome b-245 light chain antibody, Cytochrome b(558) alpha chain antibody, Cytochrome b558 subunit alpha antibody, Neutrophil cytochrome b 22 kDa polypeptide antibody, Superoxide-generating NADPH oxidase light chain subunit antibody, p22 phagocyte B-cytochrome antibody, p22-phox antibody, p22phox antibody
-
UniProt
- P13498
-
Pathways
- Regulation of Systemic Arterial Blood Pressure by Hormones, Carbohydrate Homeostasis
Target
-