Telefon:
+49 (0)241 95 163 153
Fax:
+49 (0)241 95 163 155
E-Mail:
orders@antikoerper-online.de

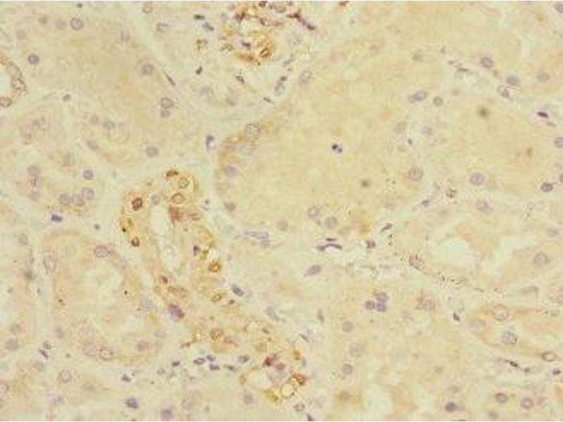
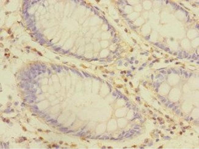
CRIP1 Antikörper (AA 1-77)

Der Kaninchen Polyklonal anti-CRIP1 Antikörper (ABIN7149052) detektiert spezifisch CRIP1 in WB, IHC und ELISA. Dieser Antikörper reagiert spezifisch mit Proben aus Human.
Produktnummer ABIN7149052
328,90 €
Zzgl. Versandkosten 20,00 € und MwSt
Lieferung nach: Deutschland
Lieferung in 11 bis 15 Werktagen

Kurzübersicht für CRIP1 Antikörper (AA 1-77) (ABIN7149052)

Target

Alle CRIP1 Antikörper anzeigen
CRIP1 (Cysteine-Rich Protein 1 (Intestinal) (CRIP1))

Reaktivität

  • 18
  • 11
  • 3
  • 3
  • 2
  • 2
  • 1
  • 1
  • 1
  • 1
Human

Wirt

  • 17
  • 1
Kaninchen

Klonalität

  • 17
  • 1
Polyklonal

Konjugat

  • 12
  • 2
  • 1
  • 1
  • 1
  • 1
Dieser CRIP1 Antikörper ist unkonjugiert

Applikation

  • 18
  • 12
  • 10
  • 8
  • 4
  • 3
  • 2
  • 1
Western Blotting (WB), Immunohistochemistry (IHC), ELISA
  • Bindungsspezifität

    • 10
    • 6
    • 2
    • 1
    AA 1-77

    Verwendungszweck

    CRIP1 Antibody

    Aufreinigung

    Antigen Affinity Purified

    Immunogen

    Recombinant Human Cysteine-rich protein 1 protein (1-77AA)

    Isotyp

    IgG
  • Applikationshinweise

    Optimal working dilution should be determined by the investigator.

    Beschränkungen

    Nur für Forschungszwecke einsetzbar
  • Format

    Liquid

    Buffer

    PBS with 0.02 % sodium azide, 50 % glycerol, pH 7.3.

    Konservierungsmittel

    Sodium azide

    Vorsichtsmaßnahmen

    This product contains Sodium azide: a POISONOUS AND HAZARDOUS SUBSTANCE which should be handled by trained staff only.

    Lagerung

    -20 °C,-80 °C

    Informationen zur Lagerung

    Upon receipt, store at -20°C or -80°C. Avoid repeated freeze.
  • Target

    CRIP1 (Cysteine-Rich Protein 1 (Intestinal) (CRIP1))

    Andere Bezeichnung

    CRIP1

    Hintergrund

    Background: Seems to have a role in zinc absorption and may function as an intracellular zinc transport protein.

    Aliases: CRHP antibody, CRIP antibody, CRIP1 antibody, CRIP1_HUMAN antibody, CRP-1 antibody, CRP1 antibody, Cysteine rich heart protein antibody, Cysteine rich intestinal protein antibody, Cysteine rich protein 1 (intestinal) antibody, Cysteine rich protein 1 antibody, Cysteine-rich heart protein antibody, Cysteine-rich intestinal protein antibody, Cysteine-rich protein 1 antibody, FLJ40971 antibody, hCRHP antibody

    UniProt

    P50238
Sie sind hier:
Chat with us!