Telefon:
+49 (0)241 95 163 153
Fax:
+49 (0)241 95 163 155
E-Mail:
orders@antikoerper-online.de

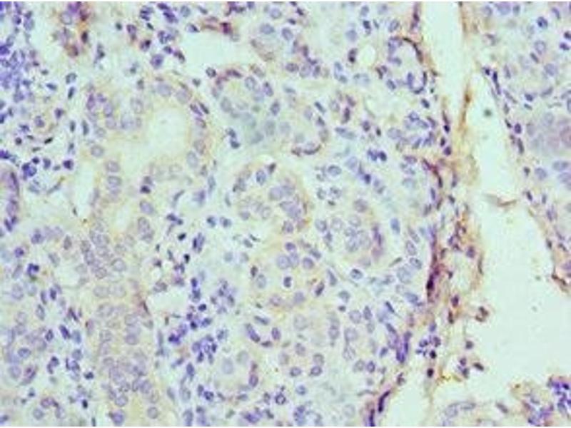
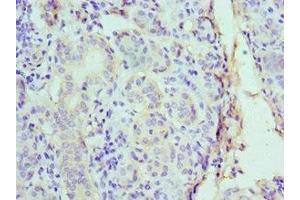
CST1 Antikörper (AA 20-141)

Der Kaninchen Polyklonal anti-CST1 Antikörper (ABIN7149007) detektiert spezifisch CST1 in IHC und ELISA. Dieser Antikörper reagiert spezifisch mit Proben aus Human.
Produktnummer ABIN7149007
328,90 €
Zzgl. Versandkosten 20,00 € und MwSt
Lieferung nach: Deutschland
Lieferung in 11 bis 15 Werktagen

Kurzübersicht für CST1 Antikörper (AA 20-141) (ABIN7149007)

Target

Alle CST1 Antikörper anzeigen
CST1 (Cystatin SN (CST1))

Reaktivität

  • 30
  • 1
  • 1
Human

Wirt

  • 23
  • 7
Kaninchen

Klonalität

  • 25
  • 5
Polyklonal

Konjugat

  • 17
  • 2
  • 2
  • 1
  • 1
  • 1
  • 1
  • 1
  • 1
  • 1
  • 1
  • 1
Dieser CST1 Antikörper ist unkonjugiert

Applikation

  • 16
  • 10
  • 6
  • 6
  • 5
  • 4
  • 3
  • 2
  • 2
  • 1
Immunohistochemistry (IHC), ELISA
  • Bindungsspezifität

    • 10
    • 3
    • 2
    • 1
    • 1
    • 1
    • 1
    • 1
    AA 20-141

    Verwendungszweck

    CST1 Antibody

    Aufreinigung

    Antigen Affinity Purified

    Immunogen

    Recombinant Human Cystatin-SN protein (20-141AA)

    Isotyp

    IgG
  • Applikationshinweise

    Optimal working dilution should be determined by the investigator.

    Beschränkungen

    Nur für Forschungszwecke einsetzbar
  • Format

    Liquid

    Buffer

    PBS with 0.02 % sodium azide, 50 % glycerol, pH 7.3.

    Konservierungsmittel

    Sodium azide

    Vorsichtsmaßnahmen

    This product contains Sodium azide: a POISONOUS AND HAZARDOUS SUBSTANCE which should be handled by trained staff only.

    Lagerung

    -20 °C,-80 °C

    Informationen zur Lagerung

    Upon receipt, store at -20°C or -80°C. Avoid repeated freeze.
  • Target

    CST1 (Cystatin SN (CST1))

    Andere Bezeichnung

    CST1

    Hintergrund

    Background: Human saliva appears to contain several cysteine proteinase inhibitors that are immunologically related to cystatin S but that differ in their specificity due to amino acid sequence differences. Cystatin SN, with a pI of 7.5, is a much better inhibitor of papain and dipeptidyl peptidase I than is cystatin S, although both inhibit ficin equally well.

    Aliases: CST1 antibody, Cystain SAI antibody, Cystain-SA-I antibody, Cystatin 1 antibody, Cystatin-1 antibody, Cystatin-SN antibody, Cystatin1 antibody, Cysteine proteinase inhibitor, type 2 family antibody, CYTN antibody, CYTN_HUMAN antibody, Salivary cystatin SA1 antibody, Salivary cystatin-SA-1 antibody

    UniProt

    P01037
Sie sind hier:
Chat with us!