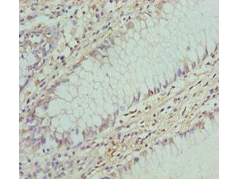
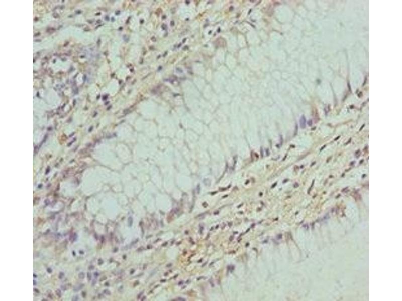
COG5 Antikörper (AA 1-260)
Kurzübersicht für COG5 Antikörper (AA 1-260) (ABIN7148460)
Target
Alle COG5 Antikörper anzeigenReaktivität
Wirt
Klonalität
Konjugat
Applikation
-
-
Bindungsspezifität
- AA 1-260
-
Verwendungszweck
- COG5 Antibody
-
Kreuzreaktivität
- Maus
-
Aufreinigung
- Antigen Affinity Purified
-
Immunogen
- Recombinant Human Conserved oligomeric Golgi complex subunit 5 protein (1-260AA)
-
Isotyp
- IgG
-
-
-
-
Applikationshinweise
- Optimal working dilution should be determined by the investigator.
-
Beschränkungen
- Nur für Forschungszwecke einsetzbar
-
-
-
Format
- Liquid
-
Buffer
- PBS with 0.02 % sodium azide, 50 % glycerol, pH 7.3.
-
Konservierungsmittel
- Sodium azide
-
Vorsichtsmaßnahmen
- This product contains Sodium azide: a POISONOUS AND HAZARDOUS SUBSTANCE which should be handled by trained staff only.
-
Lagerung
- -20 °C,-80 °C
-
Informationen zur Lagerung
- Upon receipt, store at -20°C or -80°C. Avoid repeated freeze.
-
-
- COG5 (Component of Oligomeric Golgi Complex 5 (COG5))
-
Andere Bezeichnung
- COG5
-
Hintergrund
-
Background: Required for normal Golgi function.
Aliases: COG5 antibody, GOLTC1 antibody, GTC90Conserved oligomeric Golgi complex subunit 5 antibody, COG complex subunit 5 antibody, 13S Golgi transport complex 90 kDa subunit antibody, GTC-90 antibody, Component of oligomeric Golgi complex 5 antibody, Golgi transport complex 1 antibody
-
UniProt
- Q9UP83
Target
-