Telefon:
+49 (0)241 95 163 153
Fax:
+49 (0)241 95 163 155
E-Mail:
orders@antikoerper-online.de

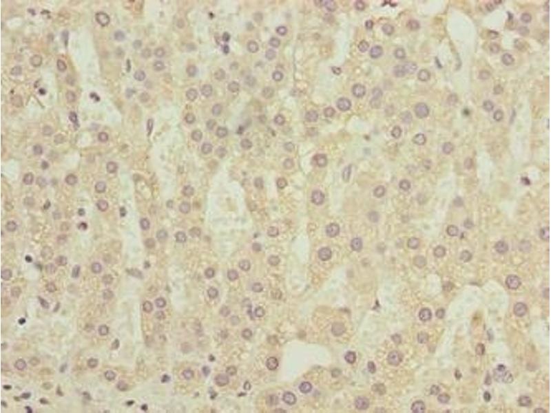
COMMD2 Antikörper (AA 5-199)

Der Kaninchen Polyklonal anti-COMMD2 Antikörper (ABIN7148308) detektiert spezifisch COMMD2 in ELISA und IHC. Dieser Antikörper reagiert spezifisch mit Proben aus Human.
Produktnummer ABIN7148308
328,90 €
Zzgl. Versandkosten 20,00 € und MwSt
Lieferung nach: Deutschland
Lieferung in 11 bis 15 Werktagen

Kurzübersicht für COMMD2 Antikörper (AA 5-199) (ABIN7148308)

Target

Alle COMMD2 Antikörper anzeigen
COMMD2 (COMM Domain Containing 2 (COMMD2))

Reaktivität

  • 8
  • 3
  • 3
  • 2
  • 2
  • 2
  • 2
  • 2
  • 1
  • 1
  • 1
  • 1
  • 1
  • 1
  • 1
Human

Wirt

  • 8
Kaninchen

Klonalität

  • 8
Polyklonal

Konjugat

  • 4
  • 2
  • 1
  • 1
Dieser COMMD2 Antikörper ist unkonjugiert

Applikation

ELISA, Immunohistochemistry (IHC)
  • Bindungsspezifität

    • 4
    • 2
    • 1
    • 1
    AA 5-199

    Verwendungszweck

    COMMD2 Antibody

    Aufreinigung

    Protein G purified

    Reinheit

    >95 %

    Immunogen

    Recombinant Human COMM domain-containing protein 2 protein (5-199AA)

    Isotyp

    IgG
  • Applikationshinweise

    Optimal working dilution should be determined by the investigator.

    Beschränkungen

    Nur für Forschungszwecke einsetzbar
  • Format

    Liquid

    Buffer

    Preservative: 0.03 % Proclin 300
    Constituents: 50 % Glycerol, 0.01M PBS, PH 7.4

    Konservierungsmittel

    ProClin

    Vorsichtsmaßnahmen

    This product contains ProClin: a POISONOUS AND HAZARDOUS SUBSTANCE which should be handled by trained staff only.

    Lagerung

    -20 °C,-80 °C

    Informationen zur Lagerung

    Upon receipt, store at -20°C or -80°C. Avoid repeated freeze.
  • Target

    COMMD2 (COMM Domain Containing 2 (COMMD2))

    Andere Bezeichnung

    COMMD2

    Hintergrund

    Background: May modulate activity of cullin-RING E3 ubiquitin ligase (CRL) complexes (PubMed:21778237). May down-regulate activation of NF-kappa-B (PubMed:15799966).

    Aliases: COMMD2 antibody, HSPC042 antibody, My004COMM domain-containing protein 2 antibody

    UniProt

    Q86X83
Sie sind hier:
Chat with us!