Telefon:
+49 (0)241 95 163 153
Fax:
+49 (0)241 95 163 155
E-Mail:
orders@antikoerper-online.de

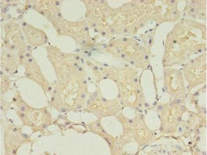
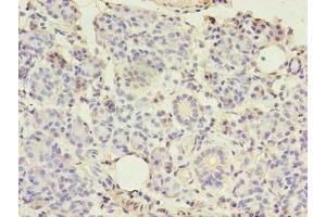
TMEM27 Antikörper (AA 15-141)

Der Kaninchen Polyklonal anti-TMEM27 Antikörper (ABIN7148290) detektiert spezifisch TMEM27 in IHC, ELISA und IF. Dieser Antikörper reagiert spezifisch mit Proben aus Human.
Produktnummer ABIN7148290
328,90 €
Zzgl. Versandkosten 20,00 € und MwSt
Lieferung nach: Deutschland
Lieferung in 11 bis 15 Werktagen

Kurzübersicht für TMEM27 Antikörper (AA 15-141) (ABIN7148290)

Target

Alle TMEM27 Antikörper anzeigen
TMEM27 (Transmembrane Protein 27 (TMEM27))

Reaktivität

  • 16
  • 7
  • 6
Human

Wirt

  • 14
  • 9
  • 2
Kaninchen

Klonalität

  • 18
  • 7
Polyklonal

Konjugat

  • 17
  • 5
  • 2
  • 1
Dieser TMEM27 Antikörper ist unkonjugiert

Applikation

  • 21
  • 14
  • 8
  • 8
  • 5
  • 3
  • 1
Immunohistochemistry (IHC), ELISA, Immunofluorescence (IF)
  • Bindungsspezifität

    • 5
    • 4
    • 2
    • 2
    • 2
    • 1
    • 1
    AA 15-141

    Verwendungszweck

    TMEM27 Antibody

    Aufreinigung

    Protein G purified

    Reinheit

    >95 %

    Immunogen

    Recombinant Human Collectrin protein (15-141AA)

    Isotyp

    IgG
  • Applikationshinweise

    Optimal working dilution should be determined by the investigator.

    Beschränkungen

    Nur für Forschungszwecke einsetzbar
  • Format

    Liquid

    Buffer

    Preservative: 0.03 % Proclin 300
    Constituents: 50 % Glycerol, 0.01M PBS, PH 7.4

    Konservierungsmittel

    ProClin

    Vorsichtsmaßnahmen

    This product contains ProClin: a POISONOUS AND HAZARDOUS SUBSTANCE which should be handled by trained staff only.

    Lagerung

    -20 °C,-80 °C

    Informationen zur Lagerung

    Upon receipt, store at -20°C or -80°C. Avoid repeated freeze.
  • Target

    TMEM27 (Transmembrane Protein 27 (TMEM27))

    Andere Bezeichnung

    TMEM27

    Hintergrund

    Background: Regulator of SNARE complex function. Stimulator of beta cell replication.

    Aliases: UNQ679 antibody, Collectrin antibody, kidney-specific membrane protein antibody, NX-17 antibody, NX17 antibody, PRO1312 antibody, Tmem27 antibody, TMM27_HUMAN antibody, Transmembrane protein 27 antibody, UNQ679/PRO1312 antibody

    UniProt

    Q9HBJ8
Sie sind hier:
Chat with us!