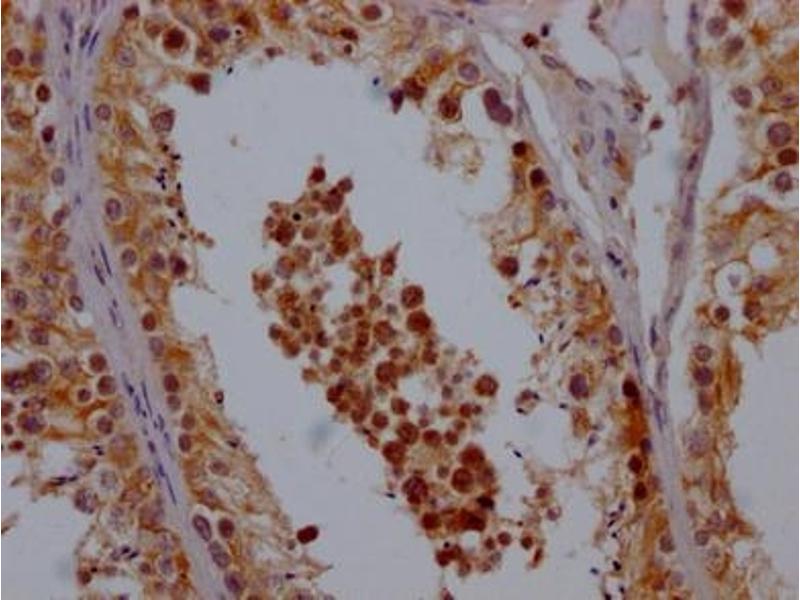
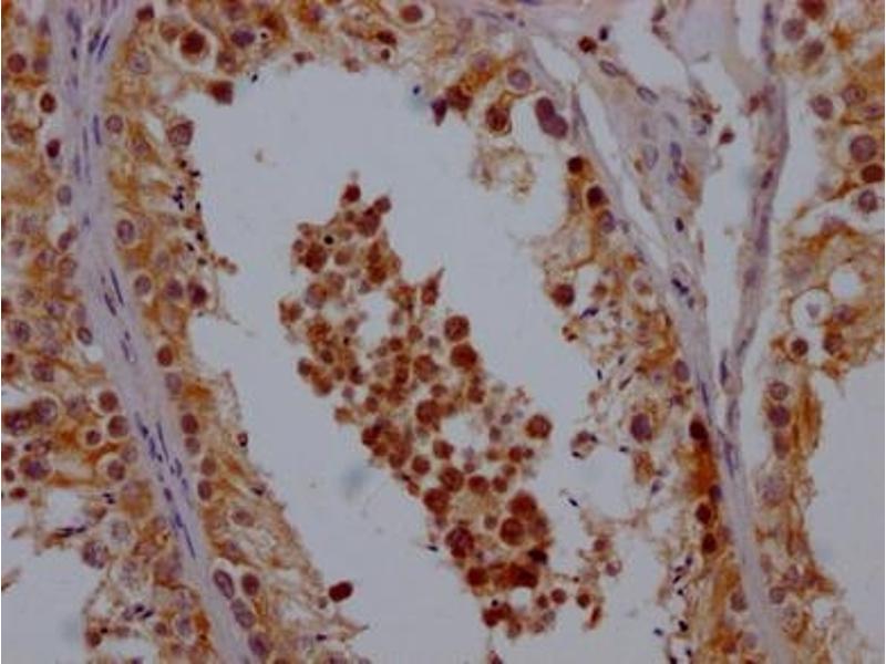
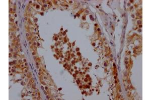
CHCHD5 Antikörper (AA 1-110)
Kurzübersicht für CHCHD5 Antikörper (AA 1-110) (ABIN7148184)
Target
Reaktivität
Wirt
Klonalität
Konjugat
Applikation
-
-
Bindungsspezifität
- AA 1-110
-
Verwendungszweck
- CHCHD5 Antibody
-
Aufreinigung
- Protein G purified
-
Reinheit
- >95 %
-
Immunogen
- Recombinant Human Coiled-coil-helix-coiled-coil-helix domain-containing protein 5 protein (1-110AA)
-
Isotyp
- IgG
-
-
-
-
Applikationshinweise
- Optimal working dilution should be determined by the investigator.
-
Beschränkungen
- Nur für Forschungszwecke einsetzbar
-
-
-
Format
- Liquid
-
Buffer
-
Preservative: 0.03 % Proclin 300
Constituents: 50 % Glycerol, 0.01M PBS, PH 7.4 -
Konservierungsmittel
- ProClin
-
Vorsichtsmaßnahmen
- This product contains ProClin: a POISONOUS AND HAZARDOUS SUBSTANCE which should be handled by trained staff only.
-
Lagerung
- -20 °C,-80 °C
-
Informationen zur Lagerung
- Upon receipt, store at -20°C or -80°C. Avoid repeated freeze.
-
-
- CHCHD5 (Coiled-Coil-Helix-Coiled-Coil-Helix Domain Containing 5 (CHCHD5))
-
Andere Bezeichnung
- CHCHD5
-
Hintergrund
-
Background: mitochondrial intermembrane space, aerobic respiration
Aliases: 1110027L01Rik antibody, AW045710 antibody, C2orf9 antibody, CHCH5_HUMAN antibody, CHCHD5 antibody, chromosome 2 open reading frame antibody, Coiled coil helix coiled coil helix domain containing 5 antibody, Coiled-coil-helix-coiled-coil-helix domain-containing protein 5 antibody, FLJ39671 antibody, MGC11104 antibody, RP24-388N11.2 antibody
-
UniProt
- Q9BSY4
Target
-