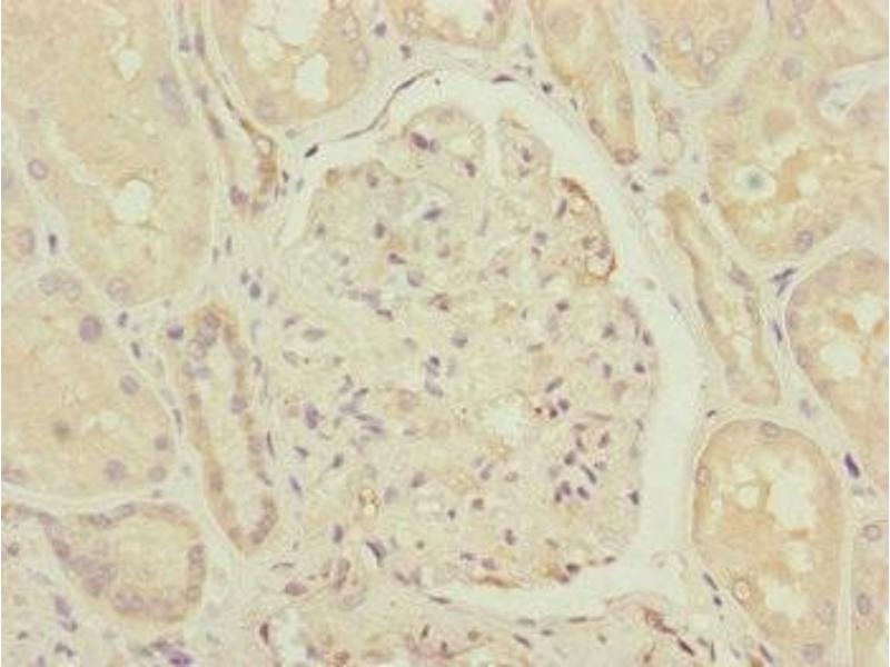
CCHCR1 Antikörper (AA 483-782)
Kurzübersicht für CCHCR1 Antikörper (AA 483-782) (ABIN7148059)
Target
Alle CCHCR1 Antikörper anzeigenReaktivität
Wirt
Klonalität
Konjugat
Applikation
-
-
Bindungsspezifität
- AA 483-782
-
Verwendungszweck
- CCHCR1 Antibody
-
Aufreinigung
- Antigen Affinity Purified
-
Immunogen
- Recombinant Human Coiled-coil alpha-helical rod protein 1 protein (483-782AA)
-
Isotyp
- IgG
-
-
-
-
Applikationshinweise
- Optimal working dilution should be determined by the investigator.
-
Beschränkungen
- Nur für Forschungszwecke einsetzbar
-
-
-
Format
- Liquid
-
Buffer
- PBS with 0.02 % sodium azide, 50 % glycerol, pH 7.3.
-
Konservierungsmittel
- Sodium azide
-
Vorsichtsmaßnahmen
- This product contains Sodium azide: a POISONOUS AND HAZARDOUS SUBSTANCE which should be handled by trained staff only.
-
Lagerung
- -20 °C,-80 °C
-
Informationen zur Lagerung
- Upon receipt, store at -20°C or -80°C. Avoid repeated freeze.
-
-
- CCHCR1 (Coiled-Coil alpha-Helical Rod Protein 1 (CCHCR1))
-
Andere Bezeichnung
- CCHCR1
-
Hintergrund
-
Background: May be a regulator of keratinocyte proliferation or differentiation.
Aliases: CCHCR1 antibody, C6orf18 antibody, HCR antibody, Coiled-coil alpha-helical rod protein 1 antibody, Alpha-helical coiled-coil rod protein antibody, Putative gene 8 protein antibody, Pg8 antibody
-
UniProt
- Q8TD31
Target
-