Telefon:
+49 (0)241 95 163 153
Fax:
+49 (0)241 95 163 155
E-Mail:
orders@antikoerper-online.de

CIPC/KIAA1737 Antikörper (AA 1-399)

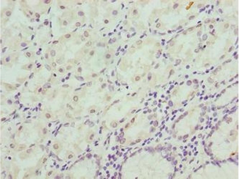
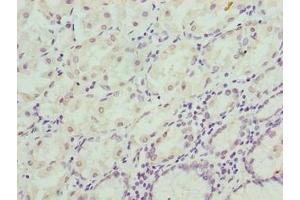
Dieser Kaninchen Polyklonal Antikörper detektiert spezifisch CIPC/KIAA1737 in ELISA, WB und IHC. Es zeigt Reaktivität gegenüber Proben von Human.
Produktnummer ABIN7147940
328,90 €
Zzgl. Versandkosten 20,00 € und MwSt
Lieferung nach: Deutschland
Lieferung in 11 bis 15 Werktagen

Kurzübersicht für CIPC/KIAA1737 Antikörper (AA 1-399) (ABIN7147940)

Target

CIPC/KIAA1737 (CIPC) (CLOCK Interacting Pacemaker (CIPC))

Reaktivität

  • 6
  • 2
Human

Wirt

  • 6
Kaninchen

Klonalität

  • 6
Polyklonal

Konjugat

  • 2
  • 2
  • 1
  • 1
Dieser CIPC/KIAA1737 Antikörper ist unkonjugiert

Applikation

ELISA, Western Blotting (WB), Immunohistochemistry (IHC)
  • Bindungsspezifität

    • 5
    • 1
    AA 1-399

    Verwendungszweck

    CIPC Antibody

    Kreuzreaktivität

    Maus

    Aufreinigung

    Protein G purified

    Reinheit

    >95 %

    Immunogen

    Recombinant Human CLOCK-interacting pacemaker protein (1-399AA)

    Isotyp

    IgG
  • Applikationshinweise

    Optimal working dilution should be determined by the investigator.

    Beschränkungen

    Nur für Forschungszwecke einsetzbar
  • Format

    Liquid

    Buffer

    Preservative: 0.03 % Proclin 300
    Constituents: 50 % Glycerol, 0.01M PBS, PH 7.4

    Konservierungsmittel

    ProClin

    Vorsichtsmaßnahmen

    This product contains ProClin: a POISONOUS AND HAZARDOUS SUBSTANCE which should be handled by trained staff only.

    Lagerung

    -20 °C,-80 °C

    Informationen zur Lagerung

    Upon receipt, store at -20°C or -80°C. Avoid repeated freeze.
  • Target

    CIPC/KIAA1737 (CIPC) (CLOCK Interacting Pacemaker (CIPC))

    Andere Bezeichnung

    CIPC

    Hintergrund

    Background: Transcriptional repressor which acts as a negative-feedback regulator of CLOCK-ARNTL/BMAL1 transcriptional activity in the circadian-clock mechanism. Stimulates ARNTL/BMAL1-dependent phosphorylation of CLOCK.

    Aliases: CIPC antibody, KIAA1737CLOCK-interacting pacemaker antibody, CLOCK-interacting circadian protein antibody

    UniProt

    Q9C0C6
Sie sind hier:
Chat with us!