Telefon:
+49 (0)241 95 163 153
Fax:
+49 (0)241 95 163 155
E-Mail:
orders@antikoerper-online.de

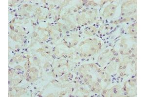
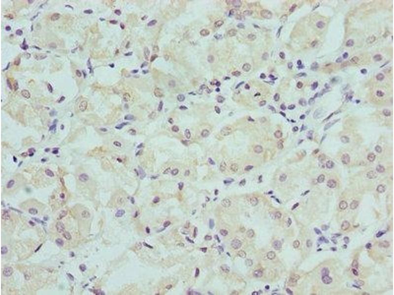
CFAP410 Antikörper (AA 1-200)

Dieser Kaninchen Polyklonal Antikörper detektiert spezifisch CFAP410 in ELISA und IHC. Es zeigt Reaktivität gegenüber Proben von Human.
Produktnummer ABIN7147760
328,90 €
Zzgl. Versandkosten 20,00 € und MwSt
Lieferung nach: Deutschland
Lieferung in 11 bis 15 Werktagen

Kurzübersicht für CFAP410 Antikörper (AA 1-200) (ABIN7147760)

Target

CFAP410 (Cilia and Flagella Associated Protein 410 (CFAP410))

Reaktivität

Human

Wirt

  • 6
Kaninchen

Klonalität

  • 6
Polyklonal

Konjugat

  • 3
  • 1
  • 1
  • 1
Dieser CFAP410 Antikörper ist unkonjugiert

Applikation

  • 4
  • 2
  • 2
  • 1
ELISA, Immunohistochemistry (IHC)
  • Bindungsspezifität

    • 4
    • 2
    • 1
    • 1
    AA 1-200

    Verwendungszweck

    CFAP410 Antibody

    Aufreinigung

    Protein G purified

    Reinheit

    >95 %

    Immunogen

    Recombinant Human Cilia- and flagella-associated protein 410 protein (1-200AA)

    Isotyp

    IgG
  • Applikationshinweise

    Optimal working dilution should be determined by the investigator.

    Beschränkungen

    Nur für Forschungszwecke einsetzbar
  • Format

    Liquid

    Buffer

    Preservative: 0.03 % Proclin 300
    Constituents: 50 % Glycerol, 0.01M PBS, PH 7.4

    Konservierungsmittel

    ProClin

    Vorsichtsmaßnahmen

    This product contains ProClin: a POISONOUS AND HAZARDOUS SUBSTANCE which should be handled by trained staff only.

    Lagerung

    -20 °C,-80 °C

    Informationen zur Lagerung

    Upon receipt, store at -20°C or -80°C. Avoid repeated freeze.
  • Target

    CFAP410 (Cilia and Flagella Associated Protein 410 (CFAP410))

    Andere Bezeichnung

    CFAP410

    Hintergrund

    Background: Plays a role in cilia formation and/or maintenance (By similarity). Plays a role in the regulation of cell morphology and cytoskeletal organization (PubMed:21834987). Involved in DNA damage repair (PubMed:26290490).

    Aliases: A2 antibody, C21orf HUMF09G8.5 antibody, C21orf-HUMF09G8.5 antibody, C21orf2 antibody, Chromosome 21 open reading frame 2 antibody, CU002_HUMAN antibody, Hypothetical protein LOC755 antibody, Nuclear encoded mitochondrial protein cDNA A2 YF5 antibody, Protein C21orf2 antibody, Uncharacterized protein C21orf2 antibody, YF 5 antibody, YF5 antibody, YF5/A2 antibody

    UniProt

    O43822
Sie sind hier:
Chat with us!