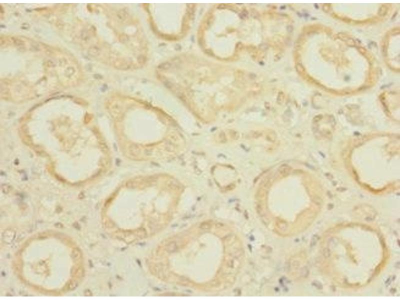
CCDC37 Antikörper (AA 1-300)
Kurzübersicht für CCDC37 Antikörper (AA 1-300) (ABIN7147750)
Target
Alle CCDC37 Antikörper anzeigenReaktivität
Wirt
Klonalität
Konjugat
Applikation
-
-
Bindungsspezifität
- AA 1-300
-
Verwendungszweck
- CFAP100 Antibody
-
Aufreinigung
- Protein G purified
-
Reinheit
- >95 %
-
Immunogen
- Recombinant Human Cilia- and flagella-associated protein 100 protein (1-300AA)
-
Isotyp
- IgG
-
-
-
-
Applikationshinweise
- Optimal working dilution should be determined by the investigator.
-
Beschränkungen
- Nur für Forschungszwecke einsetzbar
-
-
-
Format
- Liquid
-
Buffer
-
Preservative: 0.03 % Proclin 300
Constituents: 50 % Glycerol, 0.01M PBS, PH 7.4 -
Konservierungsmittel
- ProClin
-
Vorsichtsmaßnahmen
- This product contains ProClin: a POISONOUS AND HAZARDOUS SUBSTANCE which should be handled by trained staff only.
-
Lagerung
- -20 °C,-80 °C
-
Informationen zur Lagerung
- Upon receipt, store at -20°C or -80°C. Avoid repeated freeze.
-
-
- CCDC37 (Coiled-Coil Domain Containing 37 (CCDC37))
-
Andere Bezeichnung
- CFAP100
-
Hintergrund
-
Background: May play a role in ciliary/flagellar motility by regulating the assembly and the activity of axonemal inner dynein arm.
Aliases: CFAP100 antibody, CCDC37Cilia- and flagella-associated protein 100 antibody, Coiled-coil domain-containing protein 37 antibody
-
UniProt
- Q494V2
Target
-