Telefon:
+49 (0)241 95 163 153
Fax:
+49 (0)241 95 163 155
E-Mail:
orders@antikoerper-online.de

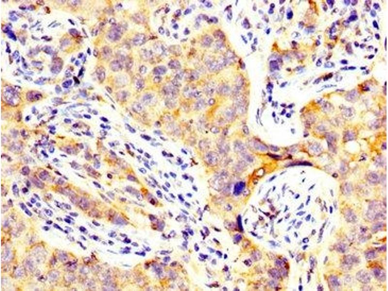
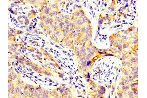
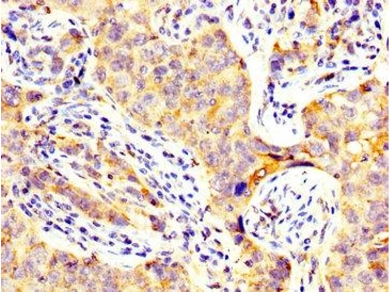
CD82 Antikörper (AA 111-228)

Der Kaninchen Polyklonal anti-CD82 Antikörper wird verwendet zum Nachweis von CD82 in Proben von Human. Er wurde validiert für ELISA, IHC und IF.
Produktnummer ABIN7147182
328,90 €
Zzgl. Versandkosten 20,00 € und MwSt
Lieferung nach: Deutschland
Lieferung in 11 bis 15 Werktagen

Kurzübersicht für CD82 Antikörper (AA 111-228) (ABIN7147182)

Target

Alle CD82 Antikörper anzeigen
CD82

Reaktivität

  • 67
  • 45
  • 9
  • 1
  • 1
  • 1
Human

Wirt

  • 65
  • 30
Kaninchen

Klonalität

  • 62
  • 33
Polyklonal

Konjugat

  • 37
  • 9
  • 7
  • 6
  • 4
  • 4
  • 3
  • 2
  • 2
  • 2
  • 2
  • 2
  • 2
  • 2
  • 1
  • 1
  • 1
  • 1
  • 1
  • 1
  • 1
  • 1
  • 1
  • 1
  • 1
Dieser CD82 Antikörper ist unkonjugiert

Applikation

  • 57
  • 38
  • 26
  • 22
  • 20
  • 18
  • 13
  • 13
  • 8
  • 7
  • 6
  • 5
  • 3
  • 2
  • 1
  • 1
  • 1
  • 1
ELISA, Immunohistochemistry (IHC), Immunofluorescence (IF)
  • Bindungsspezifität

    • 15
    • 9
    • 8
    • 6
    • 6
    • 2
    • 1
    • 1
    • 1
    • 1
    • 1
    • 1
    AA 111-228

    Verwendungszweck

    CD82 Antibody

    Aufreinigung

    Protein G purified

    Reinheit

    >95 %

    Immunogen

    Recombinant Human CD82 antigen protein (111-228AA)

    Isotyp

    IgG
  • Applikationshinweise

    Optimal working dilution should be determined by the investigator.

    Beschränkungen

    Nur für Forschungszwecke einsetzbar
  • Format

    Liquid

    Buffer

    Preservative: 0.03 % Proclin 300
    Constituents: 50 % Glycerol, 0.01M PBS, pH 7.4

    Konservierungsmittel

    ProClin

    Vorsichtsmaßnahmen

    This product contains ProClin: a POISONOUS AND HAZARDOUS SUBSTANCE which should be handled by trained staff only.

    Lagerung

    -20 °C,-80 °C

    Informationen zur Lagerung

    Upon receipt, store at -20°C or -80°C. Avoid repeated freeze.
  • Target

    CD82

    Andere Bezeichnung

    CD82

    Hintergrund

    Background: Associates with CD4 or CD8 and delivers costimulatory signals for the TCR/CD3 pathway.

    Aliases: 4F9 antibody, Antigen detected by monoclonal and antibody IA4 antibody, C33 antibody, C33 antigen antibody, CD 82 antibody, CD82 antibody, CD82 antigen antibody, CD82 Molecule antibody, CD82_HUMAN antibody, GR 15 antibody, GR15 antibody, IA 4 antibody, IA4 antibody, Inducible membrane protein antibody, Inducible membrane protein R2 antibody, KAI 1 antibody, KAI1 antibody, Kangai 1 (suppression of tumorigenicity 6, prostate, CD82 antigen (R2 leukocyte antigen, antigen detected by monoclonal and antibody IA4)) antibody, Kangai 1 antibody, Kangai1 antibody, Leukocyte surface antigen R2 antibody, Metastasis suppressor Kangai 1 antibody, Metastasis suppressor Kangai-1 antibody, Metastasis suppressor Kangai1 antibody, Prostate cancer antimetastasis gene KAI1 antibody, R2 antibody, R2 leukocyte antigen antibody, SAR 2 antibody, SAR2 antibody, ST 6 antibody, ST6 antibody, Suppression of tumorigenicity 6 antibody, Suppression of tumorigenicity 6 prostate antibody, Suppressor of tumorigenicity 6 antibody, Suppressor of tumorigenicity 6 protein antibody, Tetraspanin 27 antibody, Tetraspanin-27 antibody, Tetraspanin27 antibody, Tspan 27 antibody, Tspan-27 antibody, Tspan27 antibody

    UniProt

    P27701

    Pathways

    p53 Signalweg
Sie sind hier:
Chat with us!