Telefon:
+49 (0)241 95 163 153
Fax:
+49 (0)241 95 163 155
E-Mail:
orders@antikoerper-online.de

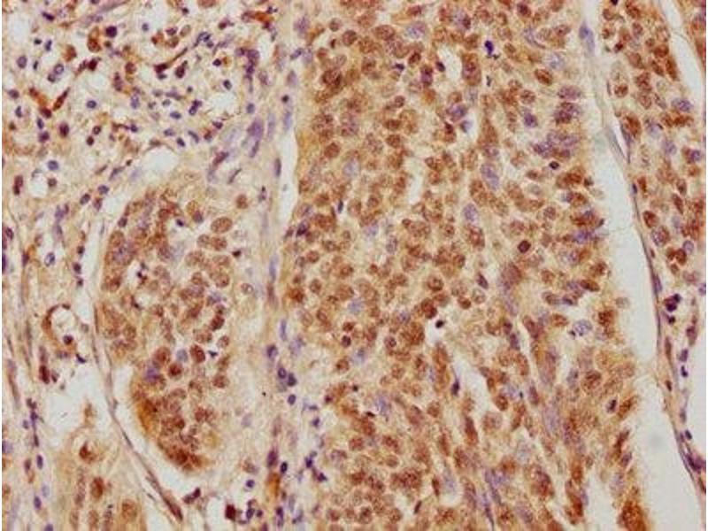
CSNK2A3 Antikörper (AA 151-391)

Dieser Kaninchen Polyklonal Antikörper detektiert spezifisch CSNK2A3 in WB, ELISA, IHC und IP. Es zeigt Reaktivität gegenüber Proben von Human.
Produktnummer ABIN7146881
328,90 €
Zzgl. Versandkosten 20,00 € und MwSt
Lieferung nach: Deutschland
Lieferung in 11 bis 15 Werktagen

Kurzübersicht für CSNK2A3 Antikörper (AA 151-391) (ABIN7146881)

Target

CSNK2A3 (Casein Kinase 2, alpha 3 Polypeptide (CSNK2A3))

Reaktivität

Human

Wirt

  • 6
Kaninchen

Klonalität

  • 6
Polyklonal

Konjugat

  • 3
  • 1
  • 1
  • 1
Dieser CSNK2A3 Antikörper ist unkonjugiert

Applikation

Western Blotting (WB), ELISA, Immunohistochemistry (IHC), Immunoprecipitation (IP)
  • Bindungsspezifität

    • 3
    • 1
    • 1
    AA 151-391

    Verwendungszweck

    CSNK2A3 Antibody

    Aufreinigung

    Protein G purified

    Reinheit

    >95 %

    Immunogen

    Recombinant Human Casein kinase II subunit alpha 3 protein (151-391AA)

    Isotyp

    IgG
  • Applikationshinweise

    Optimal working dilution should be determined by the investigator.

    Beschränkungen

    Nur für Forschungszwecke einsetzbar
  • Format

    Liquid

    Buffer

    Preservative: 0.03 % Proclin 300
    Constituents: 50 % Glycerol, 0.01M PBS, pH 7.4

    Konservierungsmittel

    ProClin

    Vorsichtsmaßnahmen

    This product contains ProClin: a POISONOUS AND HAZARDOUS SUBSTANCE which should be handled by trained staff only.

    Lagerung

    -20 °C,-80 °C

    Informationen zur Lagerung

    Upon receipt, store at -20°C or -80°C. Avoid repeated freeze.
  • Target

    CSNK2A3 (Casein Kinase 2, alpha 3 Polypeptide (CSNK2A3))

    Andere Bezeichnung

    CSNK2A3

    Hintergrund

    Background: Probable catalytic subunit of a constitutively active serine/threonine-protein kinase complex that phosphorylates a large number of substrates containing acidic residues C-terminal to the phosphorylated serine or threonine. Amplification-dependent oncogene, promotes cell proliferation and tumorigenesis by down-regulating expression of the tumor suppressor protein, PML. May play a role in the pathogenesis of the lung cancer development and progression.

    Aliases: CSNK2A3 antibody, CSNK2A1PCasein kinase II subunit alpha 3 antibody, CK II alpha 3 antibody, EC 2.7.11.1 antibody, Casein kinase II alpha 1 polypeptide pseudogene antibody

    UniProt

    Q8NEV1
Sie sind hier:
Chat with us!