Telefon:
+49 (0)241 95 163 153
Fax:
+49 (0)241 95 163 155
E-Mail:
orders@antikoerper-online.de

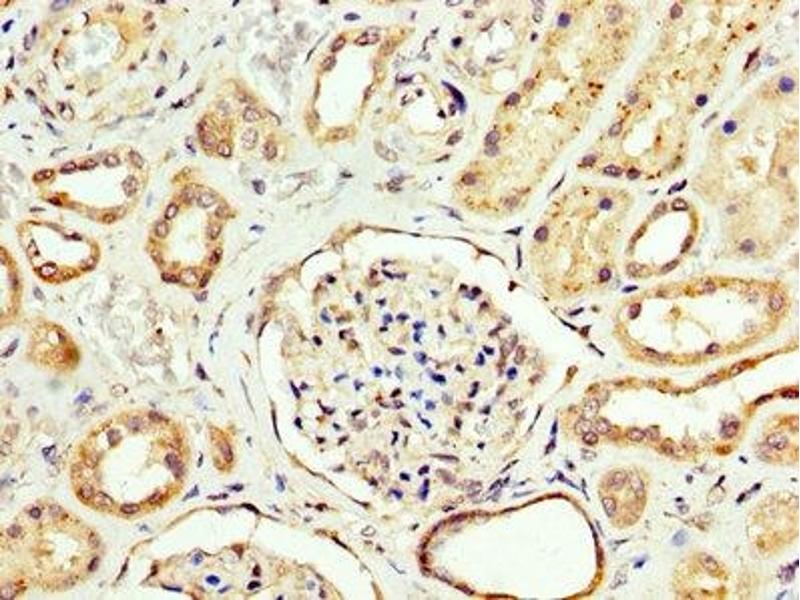
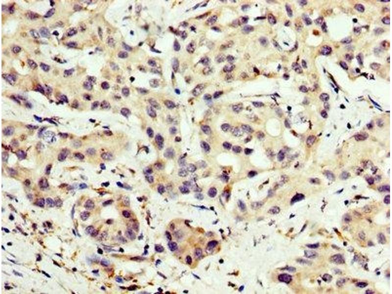
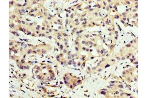
CPT2 Antikörper (AA 388-551)

Der Kaninchen Polyklonal anti-CPT2 Antikörper (ABIN7146841) detektiert spezifisch CPT2 in ELISA und IHC. Dieser Antikörper reagiert spezifisch mit Proben aus Human.
Produktnummer ABIN7146841
328,90 €
Zzgl. Versandkosten 20,00 € und MwSt
Lieferung nach: Deutschland
Lieferung in 11 bis 15 Werktagen

Kurzübersicht für CPT2 Antikörper (AA 388-551) (ABIN7146841)

Target

Alle CPT2 Antikörper anzeigen
CPT2 (Carnitine Palmitoyltransferase 2 (CPT2))

Reaktivität

  • 79
  • 47
  • 38
  • 2
  • 1
  • 1
  • 1
  • 1
  • 1
  • 1
Human

Wirt

  • 72
  • 10
  • 2
Kaninchen

Klonalität

  • 57
  • 27
Polyklonal

Konjugat

  • 42
  • 7
  • 5
  • 4
  • 3
  • 3
  • 3
  • 3
  • 3
  • 3
  • 3
  • 3
  • 1
  • 1
Dieser CPT2 Antikörper ist unkonjugiert

Applikation

  • 64
  • 36
  • 22
  • 16
  • 15
  • 7
  • 4
  • 2
  • 2
  • 2
  • 2
  • 1
  • 1
ELISA, Immunohistochemistry (IHC)
  • Bindungsspezifität

    • 8
    • 8
    • 7
    • 4
    • 4
    • 4
    • 3
    • 3
    • 2
    • 1
    • 1
    • 1
    • 1
    • 1
    • 1
    • 1
    • 1
    AA 388-551

    Verwendungszweck

    CPT2 Antibody

    Aufreinigung

    Protein G purified

    Reinheit

    >95 %

    Immunogen

    Recombinant Human Carnitine O-palmitoyltransferase 2, mitochondrial protein (388-551AA)

    Isotyp

    IgG
  • Applikationshinweise

    Optimal working dilution should be determined by the investigator.

    Beschränkungen

    Nur für Forschungszwecke einsetzbar
  • Format

    Liquid

    Buffer

    Preservative: 0.03 % Proclin 300
    Constituents: 50 % Glycerol, 0.01M PBS, pH 7.4

    Konservierungsmittel

    ProClin

    Vorsichtsmaßnahmen

    This product contains ProClin: a POISONOUS AND HAZARDOUS SUBSTANCE which should be handled by trained staff only.

    Lagerung

    -20 °C,-80 °C

    Informationen zur Lagerung

    Upon receipt, store at -20°C or -80°C. Avoid repeated freeze.
  • Target

    CPT2 (Carnitine Palmitoyltransferase 2 (CPT2))

    Andere Bezeichnung

    CPT2

    Hintergrund

    Background: mitochondrial inner membrane, mitochondrion, nucleolus, nucleoplasm, carnitine O-palmitoyltransferase activity, carnitine shuttle, regulation of lipid metabolic process

    Aliases: Carnitine O palmitoyltransferase 2 antibody, Carnitine O palmitoyltransferase 2 mitochondrial antibody, Carnitine O-palmitoyltransferase 2 antibody, Carnitine palmitoyltransferase 2 antibody, Carnitine palmitoyltransferase II antibody, CPT 1 antibody, CPT 2 antibody, CPT II antibody, CPT1 antibody, CPT2 antibody, CPT2_HUMAN antibody, CPTASE antibody, CPTII antibody, IIAE4 antibody, mitochondrial antibody

    UniProt

    P23786

    Pathways

    Regulation of Lipid Metabolism by PPARalpha, Monocarboxylic Acid Catabolic Process
Sie sind hier:
Chat with us!