Telefon:
+49 (0)241 95 163 153
Fax:
+49 (0)241 95 163 155
E-Mail:
orders@antikoerper-online.de

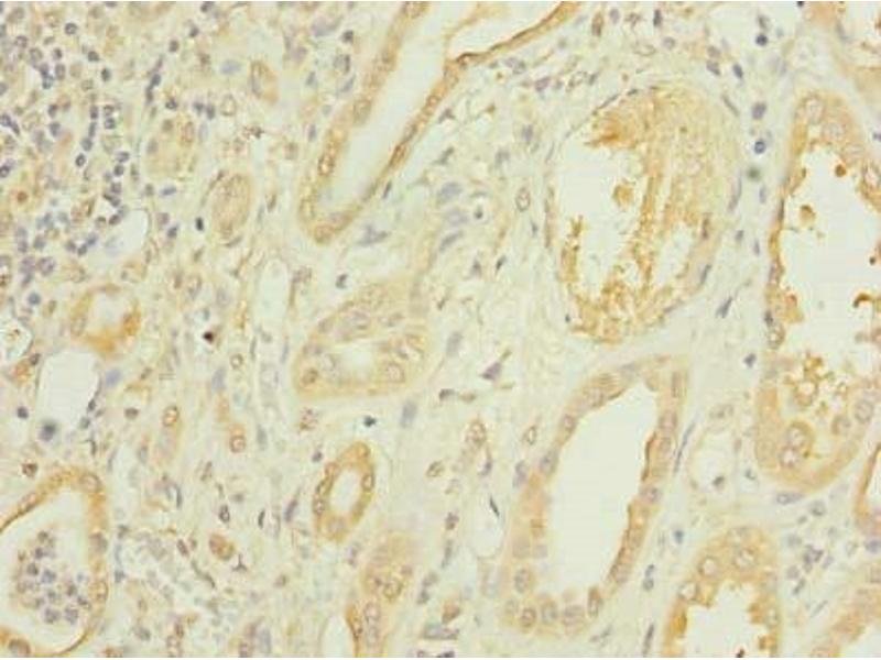
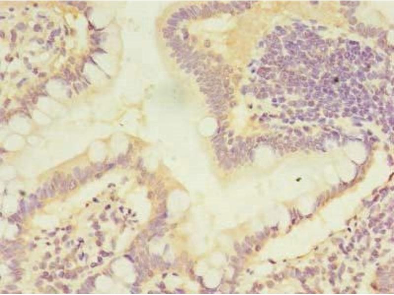
CMBL Antikörper (AA 2-245)

Dieser Kaninchen Polyklonal Antikörper detektiert spezifisch CMBL in ELISA, WB, IHC und IF. Es zeigt Reaktivität gegenüber Proben von Human.
Produktnummer ABIN7146755
328,90 €
Zzgl. Versandkosten 20,00 € und MwSt
Lieferung nach: Deutschland
Lieferung in 11 bis 15 Werktagen

Kurzübersicht für CMBL Antikörper (AA 2-245) (ABIN7146755)

Target

Alle CMBL Antikörper anzeigen
CMBL (Carboxymethylenebutenolidase Homolog (CMBL))

Reaktivität

  • 11
  • 5
  • 4
Human

Wirt

  • 9
  • 3
Kaninchen

Klonalität

  • 11
  • 1
Polyklonal

Konjugat

  • 8
  • 2
  • 1
  • 1
Dieser CMBL Antikörper ist unkonjugiert

Applikation

  • 8
  • 7
  • 2
  • 2
  • 1
ELISA, Western Blotting (WB), Immunohistochemistry (IHC), Immunofluorescence (IF)
  • Bindungsspezifität

    • 5
    • 3
    • 1
    • 1
    • 1
    AA 2-245

    Verwendungszweck

    CMBL Antibody

    Kreuzreaktivität

    Maus

    Aufreinigung

    Protein G purified

    Reinheit

    >95 %

    Immunogen

    Recombinant Human Carboxymethylenebutenolidase homolog protein (2-245AA)

    Isotyp

    IgG
  • Applikationshinweise

    Optimal working dilution should be determined by the investigator.

    Beschränkungen

    Nur für Forschungszwecke einsetzbar
  • Format

    Liquid

    Buffer

    Preservative: 0.03 % Proclin 300
    Constituents: 50 % Glycerol, 0.01M PBS, PH 7.4

    Konservierungsmittel

    ProClin

    Vorsichtsmaßnahmen

    This product contains ProClin: a POISONOUS AND HAZARDOUS SUBSTANCE which should be handled by trained staff only.

    Lagerung

    -20 °C,-80 °C

    Informationen zur Lagerung

    Upon receipt, store at -20°C or -80°C. Avoid repeated freeze.
  • Target

    CMBL (Carboxymethylenebutenolidase Homolog (CMBL))

    Andere Bezeichnung

    CMBL

    Hintergrund

    Background: Cysteine hydrolase. Can convert the prodrug olmesartan medoxomil into its pharmacologically active metabolite olmerstatan, an angiotensin receptor blocker, in liver and intestine. May also activate beta-lactam antibiotics faropenem medoxomil and lenampicillin.

    Aliases: Carboxymethylenebutenolidase homolog (Pseudomonas) antibody, Carboxymethylenebutenolidase homolog antibody, cmbl antibody, CMBL_HUMAN antibody, FLJ23617 antibody

    UniProt

    Q96DG6
Sie sind hier:
Chat with us!