Telefon:
+49 (0)241 95 163 153
Fax:
+49 (0)241 95 163 155
E-Mail:
orders@antikoerper-online.de

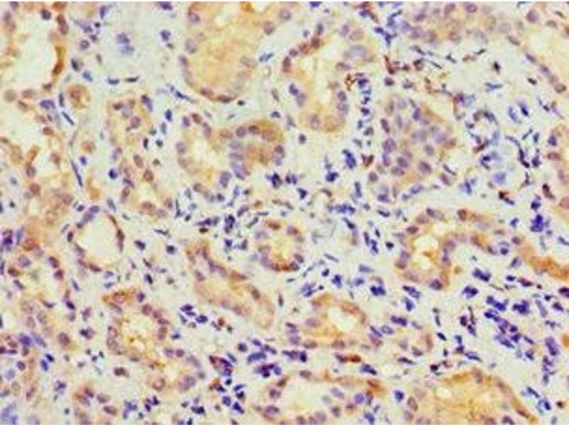
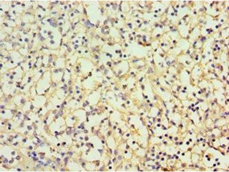
CBR3 Antikörper (AA 118-277)

Der Kaninchen Polyklonal anti-CBR3 Antikörper (ABIN7146745) detektiert spezifisch CBR3 in WB, IHC und ELISA. Dieser Antikörper reagiert spezifisch mit Proben aus Human.
Produktnummer ABIN7146745
328,90 €
Zzgl. Versandkosten 20,00 € und MwSt
Lieferung nach: Deutschland
Lieferung in 11 bis 15 Werktagen

Kurzübersicht für CBR3 Antikörper (AA 118-277) (ABIN7146745)

Target

Alle CBR3 Antikörper anzeigen
CBR3 (Carbonyl Reductase 3 (CBR3))

Reaktivität

  • 40
  • 10
  • 10
  • 3
  • 2
  • 1
  • 1
  • 1
Human

Wirt

  • 30
  • 9
  • 1
Kaninchen

Klonalität

  • 34
  • 6
Polyklonal

Konjugat

  • 29
  • 1
  • 1
  • 1
  • 1
  • 1
  • 1
  • 1
  • 1
  • 1
  • 1
  • 1
Dieser CBR3 Antikörper ist unkonjugiert

Applikation

  • 27
  • 16
  • 13
  • 8
  • 7
  • 7
  • 4
  • 3
  • 2
  • 1
  • 1
Western Blotting (WB), Immunohistochemistry (IHC), ELISA
  • Bindungsspezifität

    • 13
    • 6
    • 2
    • 2
    • 2
    • 1
    • 1
    • 1
    • 1
    • 1
    AA 118-277

    Verwendungszweck

    CBR3 Antibody

    Aufreinigung

    Antigen Affinity Purified

    Immunogen

    Recombinant Human Carbonyl reductase [NADPH] 3 protein (118-277AA)

    Isotyp

    IgG
  • Applikationshinweise

    Optimal working dilution should be determined by the investigator.

    Beschränkungen

    Nur für Forschungszwecke einsetzbar
  • Format

    Liquid

    Buffer

    PBS with 0.02 % sodium azide, 50 % glycerol, pH 7.3.

    Konservierungsmittel

    Sodium azide

    Vorsichtsmaßnahmen

    This product contains Sodium azide: a POISONOUS AND HAZARDOUS SUBSTANCE which should be handled by trained staff only.

    Lagerung

    -20 °C,-80 °C

    Informationen zur Lagerung

    Upon receipt, store at -20°C or -80°C. Avoid repeated freeze.
  • Target

    CBR3 (Carbonyl Reductase 3 (CBR3))

    Andere Bezeichnung

    CBR3

    Hintergrund

    Background: Has low NADPH-dependent oxidoreductase activity towards 4-benzoylpyridine and menadione (in vitro).

    Aliases: Carbonyl reductase (NADPH) 3 antibody, Carbonyl reductase (NADPH) 3 EC 1.1.1.184 antibody, Carbonyl reductase [NADPH] 3 antibody, Carbonyl reductase 3 antibody, CBR 3 antibody, CBR3 antibody, CBR3_HUMAN antibody, EC 1.1.1.184 antibody, Epididymis secretory protein Li 25 antibody, hCBR3 antibody, HEL S 25 antibody, NADPH dependent carbonyl reductase 3 antibody, NADPH-dependent carbonyl reductase 3 antibody, SDR21C2 antibody, Short chain dehydrogenase/reductase family 21C member 2 antibody

    UniProt

    O75828
Sie sind hier:
Chat with us!