Telefon:
+49 (0)241 95 163 153
Fax:
+49 (0)241 95 163 155
E-Mail:
orders@antikoerper-online.de

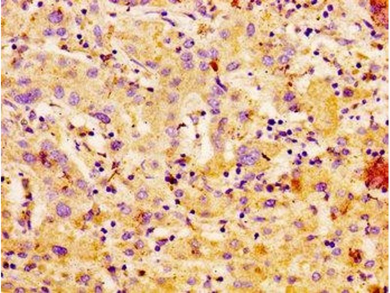
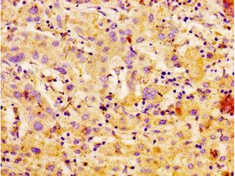
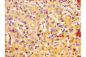
CA4 Antikörper (AA 75-200)

Der Kaninchen Polyklonal anti-CA4 Antikörper wird verwendet zum Nachweis von CA4 in Proben von Human. Er wurde validiert für IHC, ELISA und IF.
Produktnummer ABIN7146723
328,90 €
Zzgl. Versandkosten 20,00 € und MwSt
Lieferung nach: Deutschland
Lieferung in 11 bis 15 Werktagen

Kurzübersicht für CA4 Antikörper (AA 75-200) (ABIN7146723)

Target

Alle CA4 Antikörper anzeigen
CA4 (Carbonic Anhydrase IV (CA4))

Reaktivität

  • 47
  • 16
  • 10
  • 1
  • 1
  • 1
  • 1
Human

Wirt

  • 42
  • 13
Kaninchen

Klonalität

  • 44
  • 11
Polyklonal

Konjugat

  • 31
  • 6
  • 5
  • 2
  • 2
  • 2
  • 2
  • 2
  • 2
  • 1
Dieser CA4 Antikörper ist unkonjugiert

Applikation

  • 37
  • 19
  • 12
  • 11
  • 8
  • 4
  • 2
  • 1
  • 1
  • 1
Immunohistochemistry (IHC), ELISA, Immunofluorescence (IF)
  • Bindungsspezifität

    • 9
    • 4
    • 4
    • 3
    • 2
    • 2
    • 1
    • 1
    • 1
    • 1
    • 1
    • 1
    • 1
    AA 75-200

    Verwendungszweck

    CA4 Antibody

    Aufreinigung

    Protein G purified

    Reinheit

    >95 %

    Immunogen

    Recombinant Human Carbonic anhydrase 4 protein (75-200AA)

    Isotyp

    IgG
  • Applikationshinweise

    Optimal working dilution should be determined by the investigator.

    Beschränkungen

    Nur für Forschungszwecke einsetzbar
  • Format

    Liquid

    Buffer

    Preservative: 0.03 % Proclin 300
    Constituents: 50 % Glycerol, 0.01M PBS, pH 7.4

    Konservierungsmittel

    ProClin

    Vorsichtsmaßnahmen

    This product contains ProClin: a POISONOUS AND HAZARDOUS SUBSTANCE which should be handled by trained staff only.

    Lagerung

    -20 °C,-80 °C

    Informationen zur Lagerung

    Upon receipt, store at -20°C or -80°C. Avoid repeated freeze.
  • Target

    CA4 (Carbonic Anhydrase IV (CA4))

    Andere Bezeichnung

    CA4

    Hintergrund

    Background: Reversible hydration of carbon dioxide. May stimulate the sodium/bicarbonate transporter activity of SLC4A4 that acts in pH homeostasis. It is essential for acid overload removal from the retina and retina epithelium, and acid release in the choriocapillaris in the choroid.

    Aliases: CA IV antibody, CA4 antibody, CAH4_HUMAN antibody, CAIV antibody, Car4 antibody, Carbonate dehydratase IV antibody, Carbonic anhydrase 4 antibody, Carbonic dehydratase antibody, Carbonic dehydratase IV antibody, EC 4.2.1.1 antibody, Retinitis pigmentosa 17 (autosomal dominant) antibody, RP17 antibody

    UniProt

    P22748
Sie sind hier:
Chat with us!