Telefon:
+49 (0)241 95 163 153
Fax:
+49 (0)241 95 163 155
E-Mail:
orders@antikoerper-online.de

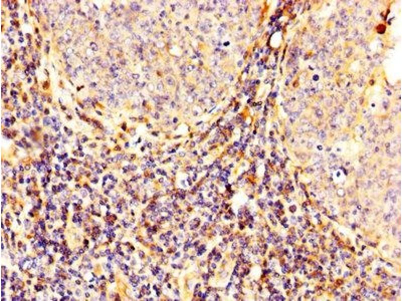
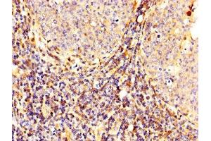
Calpain 2 Antikörper (Catalytic Subunit)

Der Kaninchen Polyklonal anti-Calpain 2 Antikörper wird verwendet zum Nachweis von Calpain 2 in Proben von Human. Er wurde validiert für WB, ELISA, IHC, IF und IP.
Produktnummer ABIN7146540
328,90 €
Zzgl. Versandkosten 20,00 € und MwSt
Lieferung nach: Deutschland
Lieferung in 11 bis 15 Werktagen

Kurzübersicht für Calpain 2 Antikörper (Catalytic Subunit) (ABIN7146540)

Target

Alle Calpain 2 (CAPN2) Antikörper anzeigen
Calpain 2 (CAPN2)

Reaktivität

  • 84
  • 55
  • 31
  • 5
  • 2
  • 1
  • 1
Human

Wirt

  • 82
  • 8
Kaninchen

Klonalität

  • 60
  • 30
Polyklonal

Konjugat

  • 38
  • 6
  • 6
  • 4
  • 4
  • 4
  • 4
  • 4
  • 4
  • 3
  • 1
  • 1
  • 1
  • 1
  • 1
  • 1
  • 1
  • 1
  • 1
  • 1
  • 1
  • 1
  • 1
Dieser Calpain 2 Antikörper ist unkonjugiert

Applikation

  • 56
  • 25
  • 23
  • 15
  • 14
  • 13
  • 13
  • 11
  • 7
  • 4
  • 1
Western Blotting (WB), ELISA, Immunohistochemistry (IHC), Immunofluorescence (IF), Immunoprecipitation (IP)
  • Bindungsspezifität

    • 15
    • 10
    • 7
    • 5
    • 5
    • 3
    • 2
    • 2
    • 2
    • 2
    • 1
    • 1
    • 1
    • 1
    • 1
    • 1
    • 1
    • 1
    • 1
    • 1
    AA 20-700, Catalytic Subunit

    Verwendungszweck

    CAPN2 Antibody

    Aufreinigung

    Protein G purified

    Reinheit

    >95 %

    Immunogen

    Recombinant Human Calpain-2 catalytic subunit protein (20-700AA)

    Isotyp

    IgG
  • Applikationshinweise

    Optimal working dilution should be determined by the investigator.

    Beschränkungen

    Nur für Forschungszwecke einsetzbar
  • Format

    Liquid

    Buffer

    Preservative: 0.03 % Proclin 300
    Constituents: 50 % Glycerol, 0.01M PBS, PH 7.4

    Konservierungsmittel

    ProClin

    Vorsichtsmaßnahmen

    This product contains ProClin: a POISONOUS AND HAZARDOUS SUBSTANCE which should be handled by trained staff only.

    Lagerung

    -20 °C,-80 °C

    Informationen zur Lagerung

    Upon receipt, store at -20°C or -80°C. Avoid repeated freeze.
  • Target

    Calpain 2 (CAPN2)

    Andere Bezeichnung

    CAPN2

    Hintergrund

    Background: Calcium-regulated non-lysosomal thiol-protease which catalyze limited proteolysis of substrates involved in cytoskeletal remodeling and signal transduction.

    Aliases: Calcium activated neutral proteinase 2 antibody, Calcium activated neutral proteinase antibody, Calcium-activated neutral protease 2, catalytic subunit antibody, Calcium-activated neutral proteinase 2 antibody, CALP80 antibody, Calpain 2 (m/II) large subunit antibody, Calpain 2 catalytic subunit antibody, Calpain 2 large catalytic subunit antibody, Calpain 2 large subunit antibody, Calpain 2, large [catalytic] subunit antibody, Calpain large polypeptide L2 antibody, Calpain M type antibody, Calpain M-type antibody, Calpain-2 catalytic subunit antibody, Calpain-2 large subunit antibody, Calpain2 antibody, CAN2_HUMAN antibody, CANP 2 antibody, CANP L2 antibody, CANP2 antibody, CANPL 2 antibody, CANPL2 antibody, CANPml antibody, Capa2 antibody, CAPN 2 antibody, CAPN2 antibody, FLJ39928 antibody, M calpain antibody, M calpin antibody, M type antibody, M-calpain antibody, mCANP antibody, Millimolar calpain antibody, Millimolar-calpain antibody

    UniProt

    P17655
Sie sind hier:
Chat with us!