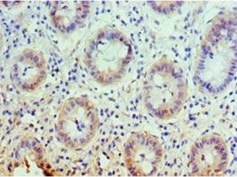
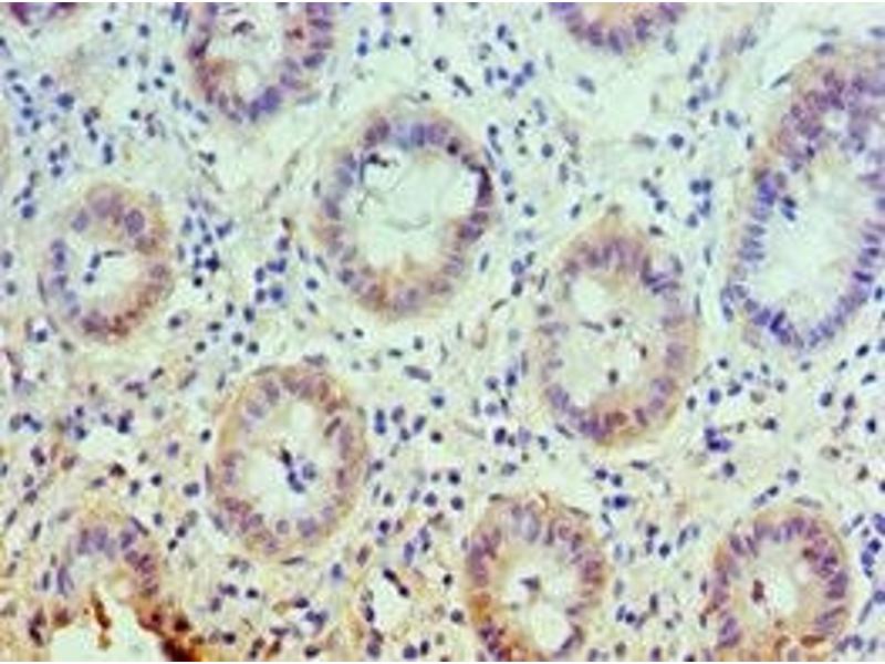
slc25a13 Antikörper (AA 1-300)
Kurzübersicht für slc25a13 Antikörper (AA 1-300) (ABIN7146355)
Target
Alle slc25a13 Antikörper anzeigenReaktivität
Wirt
Klonalität
Konjugat
Applikation
-
-
Bindungsspezifität
- AA 1-300
-
Verwendungszweck
- SLC25A13 Antibody
-
Kreuzreaktivität
- Maus
-
Aufreinigung
- Antigen Affinity Purified
-
Immunogen
- Recombinant Human Calcium-binding mitochondrial carrier protein Aralar2 protein (1-300AA)
-
Isotyp
- IgG
-
-
-
-
Applikationshinweise
- Optimal working dilution should be determined by the investigator.
-
Beschränkungen
- Nur für Forschungszwecke einsetzbar
-
-
-
Format
- Liquid
-
Buffer
- PBS with 0.02 % sodium azide, 50 % glycerol, pH 7.3.
-
Konservierungsmittel
- Sodium azide
-
Vorsichtsmaßnahmen
- This product contains Sodium azide: a POISONOUS AND HAZARDOUS SUBSTANCE which should be handled by trained staff only.
-
Lagerung
- -20 °C,-80 °C
-
Informationen zur Lagerung
- Upon receipt, store at -20°C or -80°C. Avoid repeated freeze.
-
-
- slc25a13 (Solute Carrier Family 25, Member 13 (Citrin) (slc25a13))
-
Andere Bezeichnung
- SLC25A13
-
Hintergrund
-
Background: Catalyzes the calcium-dependent exchange of cytoplasmic glutamate with mitochondrial aspartate across the mitochondrial inner membrane. May have a function in the urea cycle.
Aliases: AI785475 antibody, ARALAR2 antibody, Calcium binding mitochondrial carrier protein Aralar2 antibody, Calcium-binding mitochondrial carrier protein Aralar2 antibody, Citrin antibody, CMC2_HUMAN antibody, CTLN2 antibody, Ctrn antibody, Mitochondrial aspartate glutamate carrier 2 antibody, RGD1565889 antibody, Slc25a13 antibody, Solute carrier family 25 (citrin) member 13 antibody, Solute carrier family 25 member 13 (citrin) antibody, Solute carrier family 25 member 13 antibody
-
UniProt
- Q9UJS0
-
Pathways
- Ribonucleoside Biosynthetic Process, Dicarboxylic Acid Transport
Target
-