Telefon:
+49 (0)241 95 163 153
Fax:
+49 (0)241 95 163 155
E-Mail:
orders@antikoerper-online.de

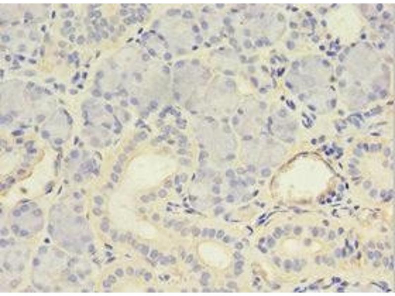
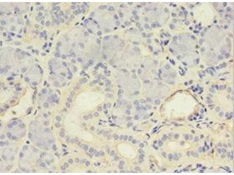
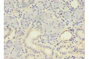
MYCBP Antikörper (AA 2-103)

Dieser Kaninchen Polyklonal Antikörper detektiert spezifisch MYCBP in IHC und ELISA. Es zeigt Reaktivität gegenüber Proben von Human.
Produktnummer ABIN7146032
328,90 €
Zzgl. Versandkosten 20,00 € und MwSt
Lieferung nach: Deutschland
Lieferung in 11 bis 15 Werktagen

Kurzübersicht für MYCBP Antikörper (AA 2-103) (ABIN7146032)

Target

Alle MYCBP Antikörper anzeigen
MYCBP (C-Myc Binding Protein (MYCBP))

Reaktivität

  • 24
  • 14
  • 4
  • 3
  • 2
  • 2
  • 2
  • 2
  • 1
Human

Wirt

  • 23
  • 7
Kaninchen

Klonalität

  • 24
  • 6
Polyklonal

Konjugat

  • 21
  • 3
  • 2
  • 2
  • 1
  • 1
Dieser MYCBP Antikörper ist unkonjugiert

Applikation

  • 25
  • 17
  • 12
  • 5
  • 2
  • 2
  • 2
  • 1
  • 1
  • 1
Immunohistochemistry (IHC), ELISA
  • Bindungsspezifität

    • 9
    • 5
    • 4
    • 3
    • 2
    • 1
    • 1
    • 1
    AA 2-103

    Verwendungszweck

    MYCBP Antibody

    Aufreinigung

    Protein G purified

    Reinheit

    >95 %

    Immunogen

    Recombinant Human c-Myc-binding protein (2-103AA)

    Isotyp

    IgG
  • Applikationshinweise

    Optimal working dilution should be determined by the investigator.

    Beschränkungen

    Nur für Forschungszwecke einsetzbar
  • Format

    Liquid

    Buffer

    Preservative: 0.03 % Proclin 300
    Constituents: 50 % Glycerol, 0.01M PBS, PH 7.4

    Konservierungsmittel

    ProClin

    Vorsichtsmaßnahmen

    This product contains ProClin: a POISONOUS AND HAZARDOUS SUBSTANCE which should be handled by trained staff only.

    Lagerung

    -20 °C,-80 °C

    Informationen zur Lagerung

    Upon receipt, store at -20°C or -80°C. Avoid repeated freeze.
  • Target

    MYCBP (C-Myc Binding Protein (MYCBP))

    Andere Bezeichnung

    MYCBP

    Hintergrund

    Background: May control the transcriptional activity of MYC. Stimulates the activation of E box-dependent transcription by MYC.

    Aliases: AMY 1 antibody, AMY-1 antibody, AMY1 antibody, Associate of Myc 1 antibody, C myc binding protein antibody, C-Myc-binding protein antibody, Cmyc binding protein antibody, MYCBP antibody, MYCBP_HUMAN antibody

    UniProt

    Q99417
Sie sind hier:
Chat with us!