Telefon:
+49 (0)241 95 163 153
Fax:
+49 (0)241 95 163 155
E-Mail:
orders@antikoerper-online.de

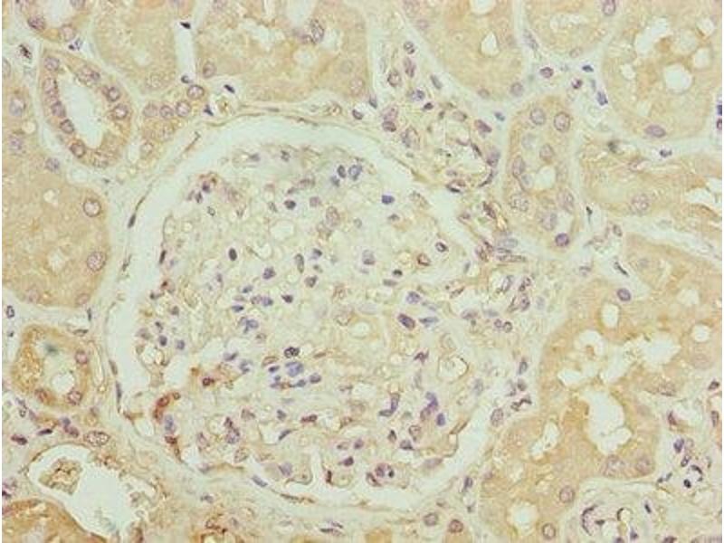
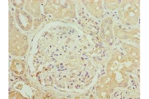
CCR1 Antikörper (AA 306-355)

Der Kaninchen Polyklonal anti-CCR1 Antikörper (ABIN7145914) detektiert spezifisch CCR1 in ELISA, IHC und IF. Dieser Antikörper reagiert spezifisch mit Proben aus Human.
Produktnummer ABIN7145914
328,90 €
Zzgl. Versandkosten 20,00 € und MwSt
Lieferung nach: Deutschland
Lieferung in 11 bis 15 Werktagen

Kurzübersicht für CCR1 Antikörper (AA 306-355) (ABIN7145914)

Target

Alle CCR1 Antikörper anzeigen
CCR1 (Chemokine (C-C Motif) Receptor 1 (CCR1))

Reaktivität

  • 60
  • 17
  • 3
Human

Wirt

  • 42
  • 17
  • 6
  • 4
  • 2
Kaninchen

Klonalität

  • 44
  • 23
  • 2
Polyklonal

Konjugat

  • 39
  • 6
  • 5
  • 5
  • 4
  • 2
  • 2
  • 1
  • 1
  • 1
  • 1
  • 1
  • 1
Dieser CCR1 Antikörper ist unkonjugiert

Applikation

  • 38
  • 28
  • 24
  • 16
  • 8
  • 5
  • 3
  • 3
  • 1
  • 1
  • 1
  • 1
ELISA, Immunohistochemistry (IHC), Immunofluorescence (IF)
  • Bindungsspezifität

    • 8
    • 8
    • 5
    • 5
    • 4
    • 3
    • 3
    • 2
    • 2
    • 2
    • 2
    • 2
    • 2
    • 2
    • 1
    • 1
    • 1
    • 1
    • 1
    AA 306-355

    Verwendungszweck

    CCR1 Antibody

    Aufreinigung

    Protein G purified

    Reinheit

    >95 %

    Immunogen

    Recombinant Human C-C chemokine receptor type 1 protein (306-355AA)

    Isotyp

    IgG
  • Applikationshinweise

    Optimal working dilution should be determined by the investigator.

    Beschränkungen

    Nur für Forschungszwecke einsetzbar
  • Format

    Liquid

    Buffer

    Preservative: 0.03 % Proclin 300
    Constituents: 50 % Glycerol, 0.01M PBS, PH 7.4

    Konservierungsmittel

    ProClin

    Vorsichtsmaßnahmen

    This product contains ProClin: a POISONOUS AND HAZARDOUS SUBSTANCE which should be handled by trained staff only.

    Lagerung

    -20 °C,-80 °C

    Informationen zur Lagerung

    Upon receipt, store at -20°C or -80°C. Avoid repeated freeze.
  • Target

    CCR1 (Chemokine (C-C Motif) Receptor 1 (CCR1))

    Andere Bezeichnung

    CCR1

    Hintergrund

    Background: Receptor for a C-C type chemokine. Binds to MIP-1-alpha, MIP-1-delta, RANTES, and MCP-3 and, less efficiently, to MIP-1-beta or MCP-1 and subsequently transduces a signal by increasing the intracellular calcium ions level. Responsible for affecting stem cell proliferation.

    Aliases: C C chemokine receptor type 1 antibody, C C CKR 1 antibody, C-C chemokine receptor type 1 antibody, C-C CKR-1 antibody, CC CKR 1 antibody, CC-CKR-1 antibody, CCR 1 antibody, CCR-1 antibody, CCR1 antibody, CCR1_HUMAN antibody, CD 191 antibody, CD191 antibody, CD191 antigen antibody, Chemokine (C C motif) receptor 1 antibody, Chemokine C C motif receptor 1 antibody, CKR 1 antibody, CKR1 antibody, CMKBR 1 antibody, CMKBR1 antibody, CMKR 1 antibody, CMKR1 antibody, HM145 antibody, LD78 receptor antibody, Macrophage inflammatory protein 1 alpha /Rantes receptor antibody, Macrophage inflammatory protein 1 alpha receptor antibody, Macrophage inflammatory protein 1-alpha receptor antibody, Mip 1a R antibody, MIP 1alpha R antibody, MIP-1alpha-R antibody, MIP1aR antibody, RANTES R antibody, RANTES receptor antibody, RANTES-R antibody, SCYAR1 antibody

    UniProt

    P32246
Sie sind hier:
Chat with us!