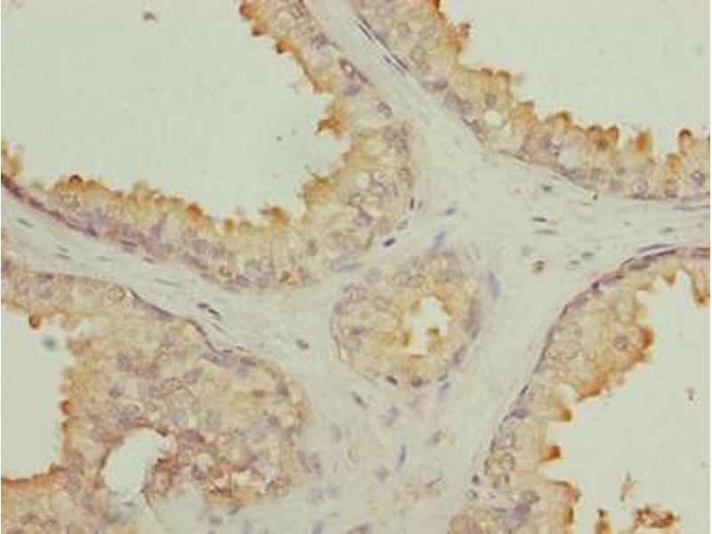
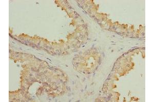
GLB1L2 Antikörper (AA 401-636)
Kurzübersicht für GLB1L2 Antikörper (AA 401-636) (ABIN7145497)
Target
Reaktivität
Wirt
Klonalität
Konjugat
Applikation
-
-
Bindungsspezifität
- AA 401-636
-
Verwendungszweck
- GLB1L2 Antibody
-
Aufreinigung
- Protein G purified
-
Reinheit
- >95 %
-
Immunogen
- Recombinant Human Beta-galactosidase-1-like protein 2 protein (401-636AA)
-
Isotyp
- IgG
-
-
-
-
Applikationshinweise
- Optimal working dilution should be determined by the investigator.
-
Beschränkungen
- Nur für Forschungszwecke einsetzbar
-
-
-
Format
- Liquid
-
Buffer
-
Preservative: 0.03 % Proclin 300
Constituents: 50 % Glycerol, 0.01M PBS, PH 7.4 -
Konservierungsmittel
- ProClin
-
Vorsichtsmaßnahmen
- This product contains ProClin: a POISONOUS AND HAZARDOUS SUBSTANCE which should be handled by trained staff only.
-
Lagerung
- -20 °C,-80 °C
-
Informationen zur Lagerung
- Upon receipt, store at -20°C or -80°C. Avoid repeated freeze.
-
-
- GLB1L2 (Galactosidase, beta 1-Like 2 (GLB1L2))
-
Andere Bezeichnung
- GLB1L2
-
Hintergrund
-
Background: beta-galactosidase activity
Aliases: Beta-galactosidase-1-like protein 2 antibody, Galactosidase beta 1 like 2 antibody, Glb1l2 antibody, GLBL2_HUMAN antibody, MST114 antibody, MSTP014 antibody, MSTP114 antibody, UNQ210/PRO236 antibody
-
UniProt
- Q8IW92
Target
-