Telefon:
+49 (0)241 95 163 153
Fax:
+49 (0)241 95 163 155
E-Mail:
orders@antikoerper-online.de

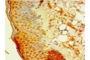
DEFB4A Antikörper (AA 1-64)

Der Kaninchen Polyklonal anti-DEFB4A Antikörper (ABIN7145488) detektiert spezifisch DEFB4A in ELISA und IHC. Dieser Antikörper reagiert spezifisch mit Proben aus Human.
Produktnummer ABIN7145488
328,90 €
Zzgl. Versandkosten 20,00 € und MwSt
Lieferung nach: Deutschland
Lieferung in 11 bis 15 Werktagen

Kurzübersicht für DEFB4A Antikörper (AA 1-64) (ABIN7145488)

Target

Alle DEFB4A (DEFB4) Antikörper anzeigen
DEFB4A (DEFB4) (Defensin, beta 4A (DEFB4))

Reaktivität

  • 24
  • 4
  • 3
  • 1
Human

Wirt

  • 19
  • 5
  • 2
  • 1
Kaninchen

Klonalität

  • 25
  • 2
Polyklonal

Konjugat

  • 16
  • 4
  • 1
  • 1
  • 1
  • 1
  • 1
  • 1
  • 1
Dieser DEFB4A Antikörper ist unkonjugiert

Applikation

  • 16
  • 15
  • 2
  • 1
  • 1
  • 1
ELISA, Immunohistochemistry (IHC)
  • Bindungsspezifität

    • 4
    • 2
    • 1
    • 1
    • 1
    • 1
    • 1
    AA 1-64

    Verwendungszweck

    DEFB4A Antibody

    Aufreinigung

    Antigen Affinity Purified

    Immunogen

    Recombinant Human Beta-defensin 4A protein (1-64AA)

    Isotyp

    IgG
  • Applikationshinweise

    Optimal working dilution should be determined by the investigator.

    Beschränkungen

    Nur für Forschungszwecke einsetzbar
  • Format

    Liquid

    Buffer

    PBS with 0.02 % sodium azide, 50 % glycerol, pH 7.3.

    Konservierungsmittel

    Sodium azide

    Vorsichtsmaßnahmen

    This product contains Sodium azide: a POISONOUS AND HAZARDOUS SUBSTANCE which should be handled by trained staff only.

    Lagerung

    -20 °C,-80 °C

    Informationen zur Lagerung

    Upon receipt, store at -20°C or -80°C. Avoid repeated freeze.
  • Target

    DEFB4A (DEFB4) (Defensin, beta 4A (DEFB4))

    Andere Bezeichnung

    DEFB4A

    Hintergrund

    Background: Has antibacterial activity.

    Aliases: BD 2 antibody, BD-2 antibody, BD2 antibody, beta 2 antibody, beta 2 Defensin antibody, Beta defensin 2 antibody, Beta defensin 4B antibody, Beta-defensin 2 antibody, Beta-defensin 4A antibody, DEF B2 antibody, DEF B4 antibody, DEFB 102 antibody, DEFB 2 antibody, DEFB 4 antibody, DEFB102 antibody, DEFB2 antibody, DEFB2, formerly antibody, DEFB4 antibody, DEFB4, formerly antibody, DEFB4B antibody, DEFB4P antibody, Defensin antibody, Defensin beta 2 antibody, Defensin, beta 4 antibody, Defensin, beta 4, pseudogene antibody, Defensin, beta 4A antibody, Defensin, beta 4B antibody, Defensin, beta, 2, formerly antibody, Defensin, beta, 4, formerly antibody, DFB4A_HUMAN antibody, HBD 2 antibody, hBD-2 antibody, HBD2 antibody, mBD-2 antibody, SAP 1 antibody, SAP1 antibody, Skin antimicrobial peptide 1 antibody, Skin-antimicrobial peptide 1 antibody

    UniProt

    O15263
Sie sind hier:
Chat with us!