Telefon:
+49 (0)241 95 163 153
Fax:
+49 (0)241 95 163 155
E-Mail:
orders@antikoerper-online.de

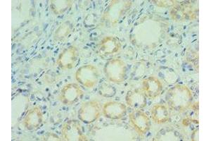
BCL7C Antikörper (AA 58-217)

Der Kaninchen Polyklonal anti-BCL7C Antikörper (ABIN7145149) detektiert spezifisch BCL7C in ELISA und IHC. Dieser Antikörper reagiert spezifisch mit Proben aus Human.
Produktnummer ABIN7145149
328,90 €
Zzgl. Versandkosten 20,00 € und MwSt
Lieferung nach: Deutschland
Lieferung in 11 bis 15 Werktagen

Kurzübersicht für BCL7C Antikörper (AA 58-217) (ABIN7145149)

Target

Alle BCL7C Antikörper anzeigen
BCL7C (B-Cell CLL/lymphoma 7C (BCL7C))

Reaktivität

  • 40
  • 20
  • 17
Human

Wirt

  • 37
  • 3
Kaninchen

Klonalität

  • 38
  • 2
Polyklonal

Konjugat

  • 14
  • 2
  • 2
  • 2
  • 2
  • 1
  • 1
  • 1
  • 1
  • 1
  • 1
  • 1
  • 1
  • 1
  • 1
  • 1
  • 1
  • 1
  • 1
  • 1
  • 1
  • 1
  • 1
Dieser BCL7C Antikörper ist unkonjugiert

Applikation

  • 34
  • 13
  • 12
  • 5
  • 2
  • 1
  • 1
ELISA, Immunohistochemistry (IHC)
  • Bindungsspezifität

    • 8
    • 2
    • 2
    • 1
    • 1
    • 1
    • 1
    AA 58-217

    Verwendungszweck

    BCL7C Antibody

    Aufreinigung

    Antigen Affinity Purified

    Immunogen

    Recombinant Human B-cell CLL/lymphoma 7 protein family member C protein (58-217AA)

    Isotyp

    IgG
  • Applikationshinweise

    Optimal working dilution should be determined by the investigator.

    Beschränkungen

    Nur für Forschungszwecke einsetzbar
  • Format

    Liquid

    Buffer

    PBS with 0.02 % sodium azide, 50 % glycerol, pH 7.3.

    Konservierungsmittel

    Sodium azide

    Vorsichtsmaßnahmen

    This product contains Sodium azide: a POISONOUS AND HAZARDOUS SUBSTANCE which should be handled by trained staff only.

    Lagerung

    -20 °C,-80 °C

    Informationen zur Lagerung

    Upon receipt, store at -20°C or -80°C. Avoid repeated freeze.
  • Target

    BCL7C (B-Cell CLL/lymphoma 7C (BCL7C))

    Andere Bezeichnung

    BCL7C

    Hintergrund

    Background: May play an anti-apoptotic role.

    Aliases: B cell CLL/lymphoma 7 protein family member C antibody, B cell CLL/lymphoma 7C antibody, B-cell CLL/lymphoma 7 protein family member C antibody, BCL 7C antibody, Bcl7c antibody, BCL7C_HUMAN antibody

    UniProt

    Q8WUZ0
Sie sind hier:
Chat with us!