Telefon:
+49 (0)241 95 163 153
Fax:
+49 (0)241 95 163 155
E-Mail:
orders@antikoerper-online.de

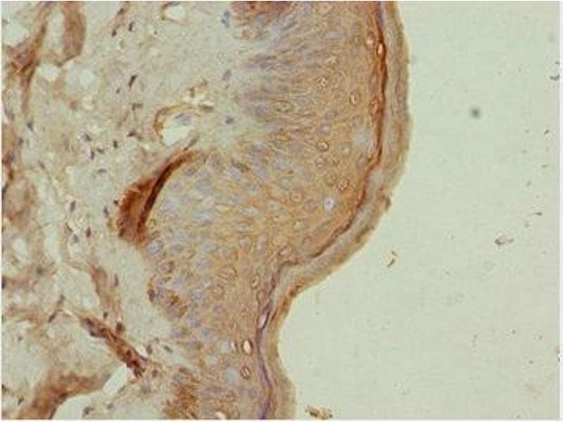
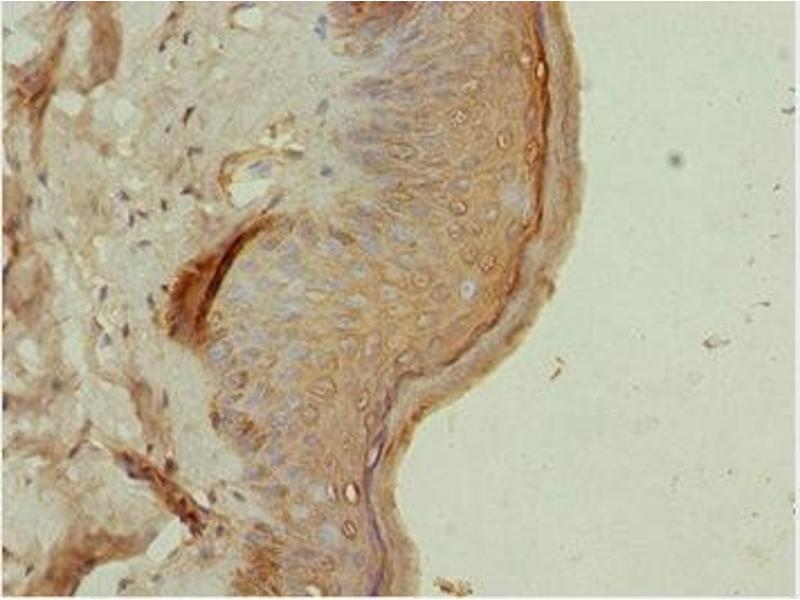
ATM Interactor Antikörper (AA 160-360)

Der Kaninchen Polyklonal anti-ATM Interactor Antikörper wird verwendet zum Nachweis von ATM Interactor in Proben von Human. Er wurde validiert für WB, ELISA und IHC.
Produktnummer ABIN7144821
328,90 €
Zzgl. Versandkosten 20,00 € und MwSt
Lieferung nach: Deutschland
Lieferung in 11 bis 15 Werktagen

Kurzübersicht für ATM Interactor Antikörper (AA 160-360) (ABIN7144821)

Target

Alle ATM Interactor (ATMIN) Antikörper anzeigen
ATM Interactor (ATMIN)

Reaktivität

  • 20
  • 14
  • 6
  • 3
  • 2
  • 2
  • 1
  • 1
  • 1
  • 1
Human

Wirt

  • 18
  • 2
Kaninchen

Klonalität

  • 20
Polyklonal

Konjugat

  • 13
  • 1
  • 1
  • 1
  • 1
  • 1
  • 1
  • 1
Dieser ATM Interactor Antikörper ist unkonjugiert

Applikation

  • 10
  • 6
  • 4
  • 4
  • 3
  • 2
  • 1
  • 1
Western Blotting (WB), ELISA, Immunohistochemistry (IHC)
  • Bindungsspezifität

    • 4
    • 2
    • 2
    • 2
    • 1
    • 1
    AA 160-360

    Verwendungszweck

    ATMIN Antibody

    Aufreinigung

    Antigen Affinity Purified

    Immunogen

    Recombinant Human ATM interactor protein (160-360AA)

    Isotyp

    IgG
  • Applikationshinweise

    Optimal working dilution should be determined by the investigator.

    Beschränkungen

    Nur für Forschungszwecke einsetzbar
  • Format

    Liquid

    Buffer

    PBS with 0.02 % sodium azide, 50 % glycerol, pH 7.3.

    Konservierungsmittel

    Sodium azide

    Vorsichtsmaßnahmen

    This product contains Sodium azide: a POISONOUS AND HAZARDOUS SUBSTANCE which should be handled by trained staff only.

    Lagerung

    -20 °C,-80 °C

    Informationen zur Lagerung

    Upon receipt, store at -20°C or -80°C. Avoid repeated freeze.
  • Target

    ATM Interactor (ATMIN)

    Andere Bezeichnung

    ATMIN

    Hintergrund

    Background: Transcription factor. Plays a crucial role in cell survival and RAD51 foci formation in response to methylating DNA damage. Involved in regulating the activity of ATM in the absence of DNA damage. May play a role in stabilizing ATM. Binds to the DYNLL1 promoter and activates its transcription.

    Aliases: ASCIZ antibody, ATM INteracting protein antibody, ATM interactor antibody, ATM substrate CHK2-interacting zinc finger protein antibody, ATM/ATR substrate CHEK2 interacting zinc finger protein antibody, ATM/ATR Substrate Chk2 Interacting Zn++ finger protein antibody, ATM/ATR substrate Chk2 interacting Zn2+ finger protein antibody, ATM/ATR-substrate CHK2-interacting zinc finger protein antibody, ATMIN antibody, ATMIN_HUMAN antibody, DKFZp779K1455 antibody, FLJ76795 antibody, KIAA0431 antibody, Zinc finger protein 822 antibody, ZNF 822 antibody, ZNF822 antibody

    UniProt

    O43313
Sie sind hier:
Chat with us!