Telefon:
+49 (0)241 95 163 153
Fax:
+49 (0)241 95 163 155
E-Mail:
orders@antikoerper-online.de

Ataxin 1-Like Antikörper (AA 183-463)

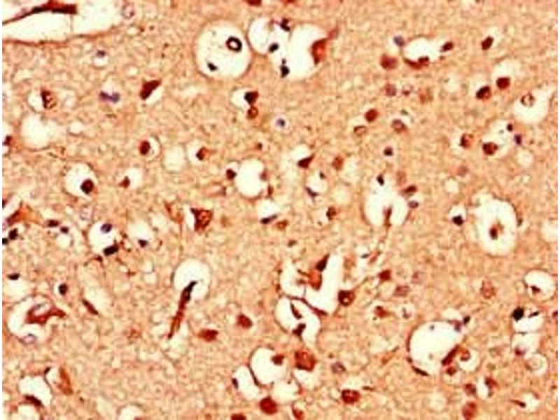
Dieser Kaninchen Polyklonal Antikörper detektiert spezifisch Ataxin 1-Like in ELISA und IHC. Es zeigt Reaktivität gegenüber Proben von Human.
Produktnummer ABIN7144784
328,90 €
Zzgl. Versandkosten 20,00 € und MwSt
Lieferung nach: Deutschland
Lieferung in 11 bis 15 Werktagen

Kurzübersicht für Ataxin 1-Like Antikörper (AA 183-463) (ABIN7144784)

Target

Alle Ataxin 1-Like (ATXN1L) Antikörper anzeigen
Ataxin 1-Like (ATXN1L)

Reaktivität

Human

Wirt

  • 13
Kaninchen

Klonalität

  • 13
Polyklonal

Konjugat

  • 4
  • 3
  • 2
  • 2
  • 1
  • 1
Dieser Ataxin 1-Like Antikörper ist unkonjugiert

Applikation

  • 10
  • 8
  • 1
ELISA, Immunohistochemistry (IHC)
  • Bindungsspezifität

    • 7
    • 4
    • 1
    • 1
    • 1
    AA 183-463

    Verwendungszweck

    ATXN1L Antibody

    Aufreinigung

    Protein G purified

    Reinheit

    >95 %

    Immunogen

    Recombinant Human Ataxin-1-like protein (183-463AA)

    Isotyp

    IgG
  • Applikationshinweise

    Optimal working dilution should be determined by the investigator.

    Beschränkungen

    Nur für Forschungszwecke einsetzbar
  • Format

    Liquid

    Buffer

    Preservative: 0.03 % Proclin 300
    Constituents: 50 % Glycerol, 0.01M PBS, PH 7.4

    Konservierungsmittel

    ProClin

    Vorsichtsmaßnahmen

    This product contains ProClin: a POISONOUS AND HAZARDOUS SUBSTANCE which should be handled by trained staff only.

    Lagerung

    -20 °C,-80 °C

    Informationen zur Lagerung

    Upon receipt, store at -20°C or -80°C. Avoid repeated freeze.
  • Target

    Ataxin 1-Like (ATXN1L)

    Andere Bezeichnung

    ATXN1L

    Hintergrund

    Background: Chromatin-binding factor that repress Notch signaling in the absence of Notch intracellular domain by acting as a CBF1 corepressor. Binds to the HEY promoter and might assist, along with NCOR2, RBPJ-mediated repression. Can suppress ATXN1 cytotoxicity in spinocerebellar ataxia type 1 (SCA1) (By similarity).

    Aliases: ATXN1L antibody, BOAT antibody, BOAT1Ataxin-1-like antibody, Brother of ataxin-1 antibody, Brother of ATXN1 antibody

    UniProt

    P0C7T5
Sie sind hier:
Chat with us!