Telefon:
+49 (0)241 95 163 153
Fax:
+49 (0)241 95 163 155
E-Mail:
orders@antikoerper-online.de

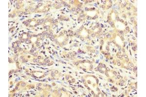
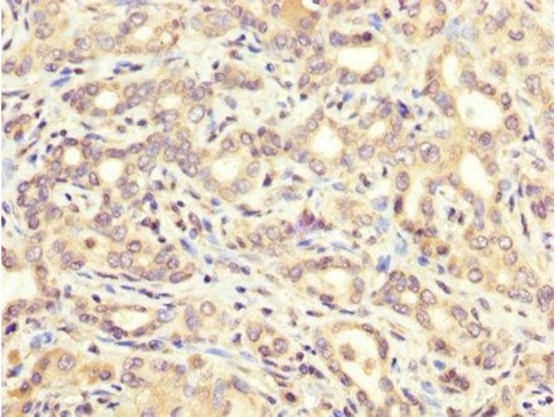
ATE1 Antikörper (AA 105-253)

Der Kaninchen Polyklonal anti-ATE1 Antikörper (ABIN7144603) detektiert spezifisch ATE1 in ELISA, IHC und IF. Dieser Antikörper reagiert spezifisch mit Proben aus Human.
Produktnummer ABIN7144603
328,90 €
Zzgl. Versandkosten 20,00 € und MwSt
Lieferung nach: Deutschland
Lieferung in 11 bis 15 Werktagen

Kurzübersicht für ATE1 Antikörper (AA 105-253) (ABIN7144603)

Target

Alle ATE1 Antikörper anzeigen
ATE1 (Arginyltransferase 1 (ATE1))

Reaktivität

  • 48
  • 24
  • 23
  • 3
  • 3
  • 3
  • 3
  • 3
  • 3
  • 1
Human

Wirt

  • 44
  • 4
Kaninchen

Klonalität

  • 24
  • 24
Polyklonal

Konjugat

  • 20
  • 3
  • 3
  • 3
  • 3
  • 3
  • 3
  • 3
  • 2
  • 2
  • 2
  • 1
Dieser ATE1 Antikörper ist unkonjugiert

Applikation

  • 37
  • 21
  • 12
  • 4
  • 1
  • 1
  • 1
  • 1
  • 1
ELISA, Immunohistochemistry (IHC), Immunofluorescence (IF)
  • Bindungsspezifität

    • 4
    • 2
    • 2
    • 2
    • 2
    • 1
    • 1
    • 1
    • 1
    • 1
    • 1
    AA 105-253

    Verwendungszweck

    ATE1 Antibody

    Aufreinigung

    Protein G purified

    Reinheit

    >95 %

    Immunogen

    Recombinant Human Arginyl-tRNA--protein transferase 1 protein (105-253AA)

    Isotyp

    IgG
  • Applikationshinweise

    Optimal working dilution should be determined by the investigator.

    Beschränkungen

    Nur für Forschungszwecke einsetzbar
  • Format

    Liquid

    Buffer

    Preservative: 0.03 % Proclin 300
    Constituents: 50 % Glycerol, 0.01M PBS, pH 7.4

    Konservierungsmittel

    ProClin

    Vorsichtsmaßnahmen

    This product contains ProClin: a POISONOUS AND HAZARDOUS SUBSTANCE which should be handled by trained staff only.

    Lagerung

    -20 °C,-80 °C

    Informationen zur Lagerung

    Upon receipt, store at -20°C or -80°C. Avoid repeated freeze.
  • Target

    ATE1 (Arginyltransferase 1 (ATE1))

    Andere Bezeichnung

    ATE1

    Hintergrund

    Background: Involved in the post-translational conjugation of arginine to the N-terminal aspartate or glutamate of a protein. This arginylation is required for degradation of the protein via the ubiquitin pathway. Does not arginylate cysteine residues (By similarity).

    Aliases: AI225793 antibody, Arginine tRNA protein transferase 1 antibody, Arginine-tRNA--protein transferase 1 antibody, Arginyl-tRNA--protein transferase 1 antibody, Arginyl-tRNA-protein transferase antibody, Arginyltransferase 1 antibody, Ate1 antibody, ATE1_HUMAN antibody, AW547406 antibody, EC 2.3.2.8 antibody, MGC26724 antibody, OTTHUMP00000020637 antibody, OTTHUMP00000058665 antibody, R transferase 1 antibody, R-transferase 1 antibody

    UniProt

    O95260

    Pathways

    SARS-CoV-2 Protein Interaktom
Sie sind hier:
Chat with us!