Telefon:
+49 (0)241 95 163 153
Fax:
+49 (0)241 95 163 155
E-Mail:
orders@antikoerper-online.de

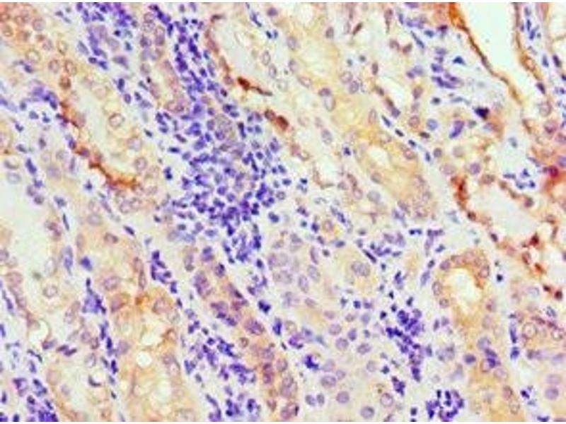
Annexin A11 Antikörper (AA 276-505)

Der Kaninchen Polyklonal anti-Annexin A11 Antikörper wird verwendet zum Nachweis von Annexin A11 in Proben von Human. Er wurde validiert für WB, IHC, ELISA und IF.
Produktnummer ABIN7144263
660,00 €
Zzgl. Versandkosten 20,00 € und MwSt
Lieferung nach: Deutschland
Lieferung in 11 bis 15 Werktagen

Kurzübersicht für Annexin A11 Antikörper (AA 276-505) (ABIN7144263)

Target

Alle Annexin A11 (ANXA11) Antikörper anzeigen
Annexin A11 (ANXA11)

Reaktivität

  • 43
  • 7
  • 6
  • 4
  • 3
  • 3
  • 3
  • 3
  • 2
  • 2
  • 2
  • 1
  • 1
  • 1
  • 1
Human

Wirt

  • 36
  • 5
  • 3
Kaninchen

Klonalität

  • 41
  • 3
Polyklonal

Konjugat

  • 24
  • 3
  • 2
  • 1
  • 1
  • 1
  • 1
  • 1
  • 1
  • 1
  • 1
  • 1
  • 1
  • 1
  • 1
  • 1
  • 1
  • 1
Dieser Annexin A11 Antikörper ist unkonjugiert

Applikation

  • 38
  • 13
  • 13
  • 11
  • 9
  • 7
  • 6
  • 5
  • 4
  • 3
  • 3
  • 2
  • 2
Western Blotting (WB), Immunohistochemistry (IHC), ELISA, Immunofluorescence (IF)
  • Bindungsspezifität

    • 15
    • 11
    • 3
    • 3
    • 2
    • 1
    • 1
    • 1
    AA 276-505

    Verwendungszweck

    ANXA11 Antibody

    Aufreinigung

    Antigen Affinity Purified

    Immunogen

    Recombinant Human Annexin A11 protein (276-505AA)

    Isotyp

    IgG
  • Applikationshinweise

    Optimal working dilution should be determined by the investigator.

    Beschränkungen

    Nur für Forschungszwecke einsetzbar
  • Format

    Liquid

    Buffer

    PBS with 0.02 % sodium azide, 50 % glycerol, pH 7.3.

    Konservierungsmittel

    Sodium azide

    Vorsichtsmaßnahmen

    This product contains Sodium azide: a POISONOUS AND HAZARDOUS SUBSTANCE which should be handled by trained staff only.

    Lagerung

    -20 °C,-80 °C

    Informationen zur Lagerung

    Upon receipt, store at -20°C or -80°C. Avoid repeated freeze.
  • Target

    Annexin A11 (ANXA11)

    Andere Bezeichnung

    ANXA11

    Hintergrund

    Background: Binds specifically to calcyclin in a calcium-dependent manner (By similarity). Required for midbody formation and completion of the terminal phase of cytokinesis.

    Aliases: 56 kDa autoantigen antibody, Annexin A11 antibody, Annexin XI antibody, Annexin-11 antibody, AnnexinA11 antibody, AnnexinXI antibody, ANX 11 antibody, ANX A11 antibody, ANX11 antibody, ANX11_HUMAN antibody, ANXA 11 antibody, ANXA11 antibody, Autoantigen 56 kD antibody, Calcyclin associated annexin 50 antibody, Calcyclin-associated annexin 50 antibody, CAP 50 antibody, CAP-50 antibody, CAP50 antibody, OTTHUMP00000059806 antibody

    UniProt

    P50995
Sie sind hier:
Chat with us!