Telefon:
+49 (0)241 95 163 153
Fax:
+49 (0)241 95 163 155
E-Mail:
orders@antikoerper-online.de

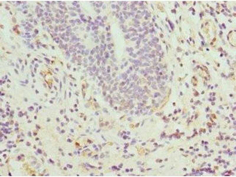
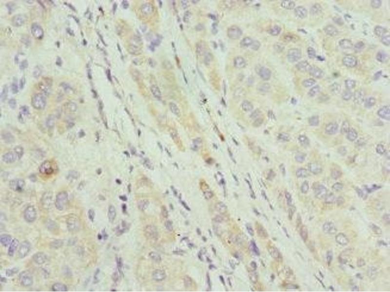
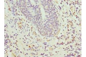
CIAPIN1 Antikörper (AA 1-312)

Dieser Kaninchen Polyklonal Antikörper detektiert spezifisch CIAPIN1 in ELISA und IHC. Es zeigt Reaktivität gegenüber Proben von Human.
Produktnummer ABIN7144067
394,68 €
Zzgl. Versandkosten 20,00 € und MwSt
Lieferung nach: Deutschland
Lieferung in 11 bis 15 Werktagen

Kurzübersicht für CIAPIN1 Antikörper (AA 1-312) (ABIN7144067)

Target

Alle CIAPIN1 Antikörper anzeigen
CIAPIN1 (Cytokine Induced Apoptosis Inhibitor 1 (CIAPIN1))

Reaktivität

  • 52
  • 14
  • 5
  • 1
Human

Wirt

  • 42
  • 10
Kaninchen

Klonalität

  • 45
  • 7
Polyklonal

Konjugat

  • 30
  • 3
  • 3
  • 2
  • 2
  • 2
  • 2
  • 2
  • 2
  • 2
  • 1
  • 1
Dieser CIAPIN1 Antikörper ist unkonjugiert

Applikation

  • 32
  • 19
  • 8
  • 7
  • 5
  • 5
  • 3
  • 2
  • 1
  • 1
  • 1
  • 1
ELISA, Immunohistochemistry (IHC)
  • Bindungsspezifität

    • 8
    • 7
    • 3
    • 2
    • 2
    • 2
    • 2
    • 2
    • 1
    • 1
    • 1
    • 1
    • 1
    • 1
    AA 1-312

    Verwendungszweck

    CIAPIN1 Antibody

    Aufreinigung

    Antigen Affinity Purified

    Immunogen

    Recombinant Human Anamorsin protein (1-312AA)

    Isotyp

    IgG
  • Applikationshinweise

    Optimal working dilution should be determined by the investigator.

    Beschränkungen

    Nur für Forschungszwecke einsetzbar
  • Format

    Liquid

    Buffer

    PBS with 0.02 % sodium azide, 50 % glycerol, pH 7.3.

    Konservierungsmittel

    Sodium azide

    Vorsichtsmaßnahmen

    This product contains Sodium azide: a POISONOUS AND HAZARDOUS SUBSTANCE which should be handled by trained staff only.

    Lagerung

    -20 °C,-80 °C

    Informationen zur Lagerung

    Upon receipt, store at -20°C or -80°C. Avoid repeated freeze.
  • Target

    CIAPIN1 (Cytokine Induced Apoptosis Inhibitor 1 (CIAPIN1))

    Andere Bezeichnung

    CIAPIN1

    Hintergrund

    Background: Has anti-apoptotic effects in the cell. Involved in negative control of cell death upon cytokine withdrawal. Promotes development of hematopoietic cells (By similarity). Component of the cytosolic iron-sulfur (Fe-S) protein assembly (CIA) machinery. Required for the maturation of extramitochondrial Fe-S proteins. Part of an electron transfer chain functioning in an early step of cytosolic Fe-S biogenesis. Electrons are transferred to the Fe-S cluster from NADPH via the FAD- and FMN-containing protein NDOR1.

    Aliases: 2810413N20Rik antibody, Anamorsin antibody, CIAPIN 1 antibody, CIAPIN1 antibody, CPIN1_HUMAN antibody, Cytokine induced apoptosis inhibitor 1 antibody, Cytokine-induced apoptosis inhibitor 1 antibody, DRE2 antibody, Fe-S cluster assembly protein DRE2 homolog antibody, Predicted protein of HQ0915 antibody, PRO0915 antibody

    UniProt

    Q6FI81
Sie sind hier:
Chat with us!