Telefon:
+49 (0)241 95 163 153
Fax:
+49 (0)241 95 163 155
E-Mail:
orders@antikoerper-online.de

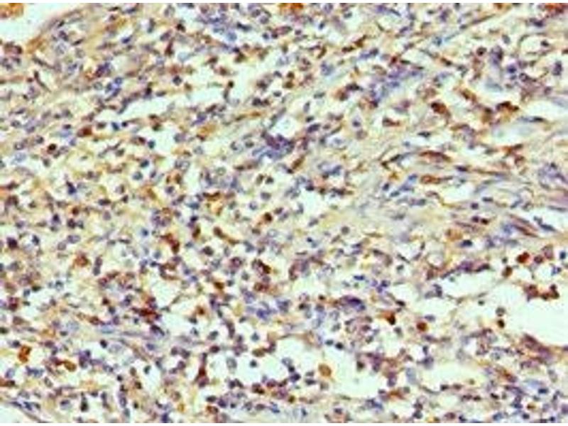
AIMP1 Antikörper (AA 25-180)

Der Kaninchen Polyklonal anti-AIMP1 Antikörper (ABIN7143994) detektiert spezifisch AIMP1 in WB, ELISA, IHC und IP. Dieser Antikörper reagiert spezifisch mit Proben aus Human.
Produktnummer ABIN7143994
328,90 €
Zzgl. Versandkosten 20,00 € und MwSt
Lieferung nach: Deutschland
Lieferung in 11 bis 15 Werktagen

Kurzübersicht für AIMP1 Antikörper (AA 25-180) (ABIN7143994)

Target

Alle AIMP1 Antikörper anzeigen
AIMP1 (Aminoacyl tRNA Synthetase Complex-Interacting Multifunctional Protein 1 (AIMP1))

Reaktivität

  • 65
  • 19
  • 16
  • 4
  • 2
  • 2
  • 2
  • 2
  • 1
  • 1
  • 1
Human

Wirt

  • 52
  • 8
  • 7
Kaninchen

Klonalität

  • 58
  • 9
Polyklonal

Konjugat

  • 37
  • 7
  • 3
  • 2
  • 1
  • 1
  • 1
  • 1
  • 1
  • 1
  • 1
  • 1
  • 1
  • 1
  • 1
  • 1
  • 1
  • 1
  • 1
  • 1
  • 1
  • 1
Dieser AIMP1 Antikörper ist unkonjugiert

Applikation

  • 52
  • 23
  • 13
  • 13
  • 10
  • 8
  • 7
  • 5
  • 5
  • 5
  • 4
  • 4
  • 3
  • 2
  • 1
Western Blotting (WB), ELISA, Immunohistochemistry (IHC), Immunoprecipitation (IP)
  • Bindungsspezifität

    • 15
    • 5
    • 3
    • 2
    • 2
    • 2
    • 2
    • 2
    • 2
    • 1
    • 1
    • 1
    • 1
    • 1
    • 1
    • 1
    • 1
    AA 25-180

    Verwendungszweck

    AIMP1 Antibody

    Aufreinigung

    Antigen Affinity Purified

    Immunogen

    Recombinant Human Aminoacyl tRNA synthase complex-interacting multifunctional protein 1 protein (25-180AA)

    Isotyp

    IgG
  • Applikationshinweise

    Optimal working dilution should be determined by the investigator.

    Beschränkungen

    Nur für Forschungszwecke einsetzbar
  • Format

    Liquid

    Buffer

    PBS with 0.02 % sodium azide, 50 % glycerol, pH 7.3.

    Konservierungsmittel

    Sodium azide

    Vorsichtsmaßnahmen

    This product contains Sodium azide: a POISONOUS AND HAZARDOUS SUBSTANCE which should be handled by trained staff only.

    Lagerung

    -20 °C,-80 °C

    Informationen zur Lagerung

    Upon receipt, store at -20°C or -80°C. Avoid repeated freeze.
  • Target

    AIMP1 (Aminoacyl tRNA Synthetase Complex-Interacting Multifunctional Protein 1 (AIMP1))

    Andere Bezeichnung

    AIMP1

    Hintergrund

    Background: Non-catalytic component of the multisynthase complex. Stimulates the catalytic activity of cytoplasmic arginyl-tRNA synthase. Binds tRNA. Possesses inflammatory cytokine activity. Negatively regulates TGF-beta signaling through stabilization of SMURF2 by binding to SMURF2 and inhibiting its SMAD7-mediated degradation. Involved in glucose homeostasis through induction of glucagon secretion at low glucose levels. Promotes dermal fibroblast proliferation and wound repair. Regulates KDELR1-mediated retention of HSP90B1/gp96 in the endoplasmic reticulum. Plays a role in angiogenesis by inducing endothelial cell migration at low concentrations and endothelian cell apoptosis at high concentrations. Induces maturation of dendritic cells and monocyte cell adhesion. Modulates endothelial cell responses by degrading HIF-1A through interaction with PSMA7.

    Aliases: AIMP 1 antibody, Aimp1 antibody, AIMP1/p43 antibody, AIMP1_HUMAN antibody, Aminoacyl tRNA synthetase complex-interacting multifunctional protein 1 antibody, ARS interacting multifunctional protein 1 antibody, EMAP 2 antibody, EMAP-2 antibody, EMAP-II antibody, EMAP2 antibody, EMAPII antibody, Endothelial monocyte activating polypeptide 2 antibody, Endothelial monocyte activating polypeptide antibody, Endothelial monocyte-activating polypeptide 2 antibody, Endothelial monocyte-activating polypeptide II antibody, HLD3 antibody, Multisynthase complex auxiliary component p43 antibody, Multisynthetase complex auxiliary component p43 antibody, OTTHUMP00000219673 antibody, p43 antibody, Scye 1 antibody, Scye1 antibody, Scye1, formerly antibody, Small inducible cytokine subfamily E member 1 antibody, Small inducible cytokine subfamily E, member 1 (endothelial monocyte-activating) antibody, Small inducible cytokine subfamily E, member 1, formerly antibody

    UniProt

    Q12904
Sie sind hier:
Chat with us!