Telefon:
+49 (0)241 95 163 153
Fax:
+49 (0)241 95 163 155
E-Mail:
orders@antikoerper-online.de

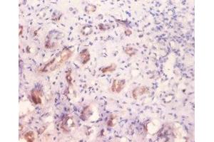
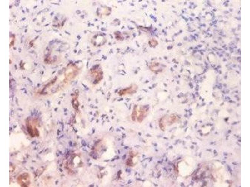
GLA Antikörper (AA 32-429)

Der Kaninchen Polyklonal anti-GLA Antikörper wird verwendet zum Nachweis von GLA in Proben von Human. Er wurde validiert für IHC und ELISA.
Produktnummer ABIN7143879
328,90 €
Zzgl. Versandkosten 20,00 € und MwSt
Lieferung nach: Deutschland
Lieferung in 11 bis 15 Werktagen

Kurzübersicht für GLA Antikörper (AA 32-429) (ABIN7143879)

Target

Alle GLA Antikörper anzeigen
GLA (Galactosidase, alpha (GLA))

Reaktivität

  • 99
  • 37
  • 27
  • 4
  • 4
  • 4
  • 2
  • 2
  • 2
  • 1
  • 1
  • 1
  • 1
  • 1
  • 1
Human

Wirt

  • 106
  • 13
  • 2
Kaninchen

Klonalität

  • 87
  • 34
Polyklonal

Konjugat

  • 56
  • 14
  • 13
  • 6
  • 3
  • 3
  • 3
  • 3
  • 3
  • 3
  • 1
  • 1
  • 1
  • 1
  • 1
  • 1
  • 1
  • 1
  • 1
  • 1
  • 1
  • 1
  • 1
  • 1
Dieser GLA Antikörper ist unkonjugiert

Applikation

  • 87
  • 36
  • 33
  • 31
  • 23
  • 18
  • 13
  • 13
  • 13
  • 6
  • 3
  • 3
  • 2
  • 1
Immunohistochemistry (IHC), ELISA
  • Bindungsspezifität

    • 16
    • 9
    • 7
    • 5
    • 5
    • 4
    • 4
    • 4
    • 3
    • 2
    • 2
    • 2
    • 2
    • 2
    • 2
    • 1
    • 1
    • 1
    • 1
    • 1
    AA 32-429

    Verwendungszweck

    GLA Antibody

    Aufreinigung

    Protein G purified

    Reinheit

    >95 %

    Immunogen

    Recombinant Human Alpha-galactosidase A protein (32-429AA)

    Isotyp

    IgG
  • Applikationshinweise

    Optimal working dilution should be determined by the investigator.

    Beschränkungen

    Nur für Forschungszwecke einsetzbar
  • Format

    Liquid

    Buffer

    Preservative: 0.03 % Proclin 300
    Constituents: 50 % Glycerol, 0.01M PBS, PH 7.4

    Konservierungsmittel

    ProClin

    Vorsichtsmaßnahmen

    This product contains ProClin: a POISONOUS AND HAZARDOUS SUBSTANCE which should be handled by trained staff only.

    Lagerung

    -20 °C,-80 °C

    Informationen zur Lagerung

    Upon receipt, store at -20°C or -80°C. Avoid repeated freeze.
  • Target

    GLA (Galactosidase, alpha (GLA))

    Andere Bezeichnung

    GLA

    Hintergrund

    Background: Alpha-galactosidase is a glycoside hydrolase enzyme that hydrolyses the terminal alpha-galactosyl moieties from glycolipids and glycoproteins.

    Aliases: AGAL_HUMAN antibody, Agalsidase alfa antibody, Alpha D galactosidase A antibody, Alpha D galactoside galactohydrolase 1 antibody, Alpha D galactoside galactohydrolase antibody, Alpha gal A antibody, Alpha galactosidase A antibody, Alpha-D-galactosidase A antibody, Alpha-D-galactoside galactohydrolase antibody, Alpha-galactosidase A antibody, GALA antibody, Galactosidase, alpha antibody, GLA antibody, GLA protein antibody, Melibiase antibody

    UniProt

    P06280

    Pathways

    SARS-CoV-2 Protein Interaktom
Sie sind hier:
Chat with us!