Telefon:
+49 (0)241 95 163 153
Fax:
+49 (0)241 95 163 155
E-Mail:
orders@antikoerper-online.de

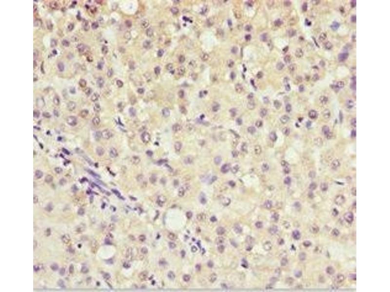
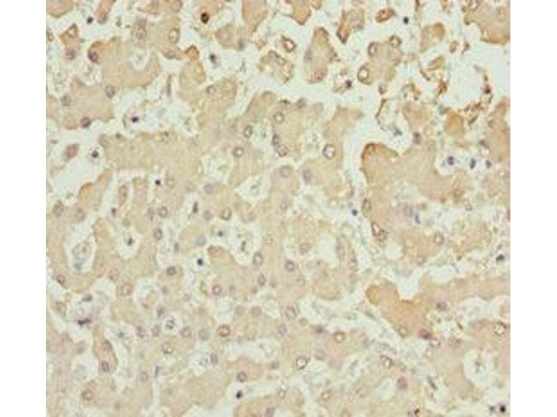
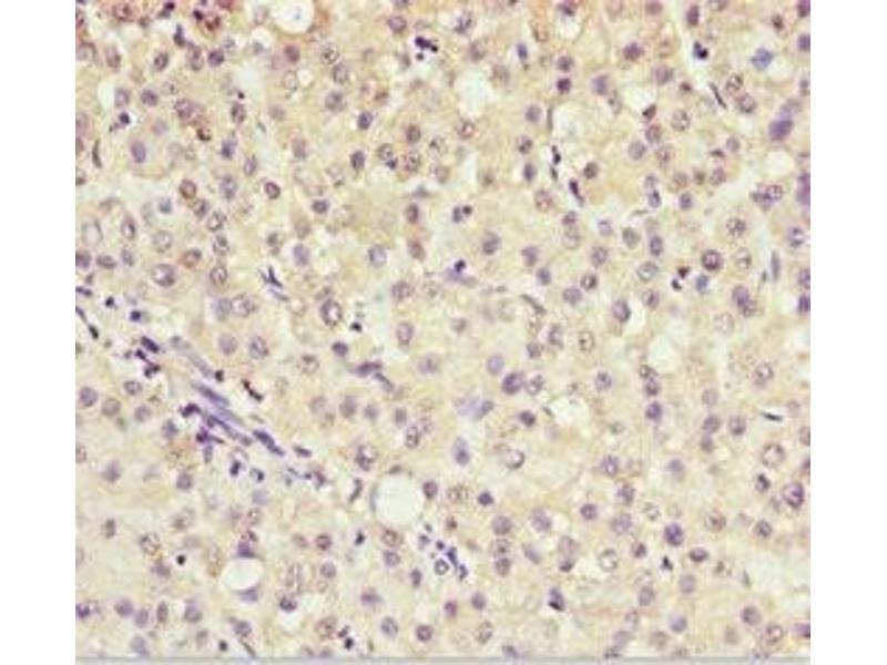
AKR7A2 Antikörper (AA 100-359)

Der Kaninchen Polyklonal anti-AKR7A2 Antikörper (ABIN7143586) detektiert spezifisch AKR7A2 in WB, IHC und ELISA. Dieser Antikörper reagiert spezifisch mit Proben aus Human.
Produktnummer ABIN7143586
328,90 €
Zzgl. Versandkosten 20,00 € und MwSt
Lieferung nach: Deutschland
Lieferung in 11 bis 15 Werktagen

Kurzübersicht für AKR7A2 Antikörper (AA 100-359) (ABIN7143586)

Target

Alle AKR7A2 Antikörper anzeigen
AKR7A2 (Aflatoxin Beta1 Aldehyde Reductase (AKR7A2))

Reaktivität

  • 52
  • 17
  • 12
  • 8
  • 1
  • 1
  • 1
  • 1
  • 1
Human

Wirt

  • 41
  • 11
Kaninchen

Klonalität

  • 43
  • 9
Polyklonal

Konjugat

  • 24
  • 3
  • 2
  • 2
  • 2
  • 2
  • 2
  • 2
  • 1
  • 1
  • 1
  • 1
  • 1
  • 1
  • 1
  • 1
  • 1
  • 1
  • 1
  • 1
  • 1
Dieser AKR7A2 Antikörper ist unkonjugiert

Applikation

  • 22
  • 13
  • 13
  • 10
  • 8
  • 5
  • 4
  • 3
  • 3
  • 2
  • 1
  • 1
  • 1
  • 1
Western Blotting (WB), Immunohistochemistry (IHC), ELISA
  • Bindungsspezifität

    • 15
    • 6
    • 4
    • 2
    • 2
    • 1
    • 1
    • 1
    • 1
    • 1
    AA 100-359

    Verwendungszweck

    AKR7A2 Antibody

    Kreuzreaktivität

    Maus

    Aufreinigung

    Antigen Affinity Purified

    Immunogen

    Recombinant Human Aflatoxin B1 aldehyde reductase member 2 protein (100-359AA)

    Isotyp

    IgG
  • Applikationshinweise

    Optimal working dilution should be determined by the investigator.

    Beschränkungen

    Nur für Forschungszwecke einsetzbar
  • Format

    Liquid

    Buffer

    PBS with 0.02 % sodium azide, 50 % glycerol, pH 7.3.

    Konservierungsmittel

    Sodium azide

    Vorsichtsmaßnahmen

    This product contains Sodium azide: a POISONOUS AND HAZARDOUS SUBSTANCE which should be handled by trained staff only.

    Lagerung

    -20 °C,-80 °C

    Informationen zur Lagerung

    Upon receipt, store at -20°C or -80°C. Avoid repeated freeze.
  • Target

    AKR7A2 (Aflatoxin Beta1 Aldehyde Reductase (AKR7A2))

    Andere Bezeichnung

    AKR7A2

    Hintergrund

    Background: Catalyzes the NADPH-dependent reduction of succinic semialdehyde to gamma-hydroxybutyrate. May have an important role in producing the neuromodulator gamma-hydroxybutyrate (GHB). Has broad substrate specificity. Has NADPH-dependent aldehyde reductase activity towards 2-carboxybenzaldehyde, 2-nitrobenzaldehyde and pyridine-2-aldehyde (in vitro). Can reduce 1,2-naphthoquinone and 9,10-phenanthrenequinone (in vitro). Can reduce the dialdehyde protein-binding form of aflatoxin B1 (AFB1) to the non-binding AFB1 dialcohol. May be involved in protection of liver against the toxic and carcinogenic effects of AFB1, a potent hepatocarcinogen.

    Aliases: AFAR antibody, AFAR1 antibody, AFB1 aldehyde reductase 1 antibody, AFB1 AR1 antibody, AFB1-AR 1 antibody, AFB1AR1 antibody, Aflatoxin aldehyde reductase antibody, Aflatoxin B1 aldehyde reductase member 2 antibody, Aflatoxin beta1 aldehyde reductase antibody, Aiar antibody, AKR7 antibody, Akr7a2 antibody, Aldo keto reductase family 7 antibody, Aldo keto reductase family 7 member A2 aflatoxin aldehyde reductase antibody, Aldo keto reductase family 7 member A2 antibody, Aldo keto reductase family 7, member A2 (aflatoxin aldehyde reductase) antibody, Aldoketoreductase 7 antibody, ARK72_HUMAN antibody, SSA reductase antibody, Succinic semialdehyde reductase antibody

    UniProt

    O43488
Sie sind hier:
Chat with us!